标签:
杂谈 |
1.打牢基础、灵活运用。医学生的成长周期可以说 "新三年旧三年、缝缝补补又三年" ,非常漫长,本科五年硕士三年博士三年规培三年…大学伊始,解剖、组织胚胎、生理、生化、药理、病理、病生等比四大名著字数还多,诊断开始才与临床搭点边儿,问病史、体格检查等,最基础的是最容易出问题容易犯错的,分享一例病例:
昨天门诊,一青年女性患者,左髋关节疼痛1年,自诉幼时曾行左髋关节手术(具体不详),简单问完病史开始查体,髋关节最常用的查体是 "4"字试验(患者仰卧,一侧下肢伸直,另侧下肢以"4" 字形状放在伸直下肢近膝关节处,并一手按住膝关节,另一手按压对侧髂嵴上,两手同时下压。下压时出现疼痛或者曲侧膝关节不能触及床面为阳性)
https://pic.wenwo.com/fimg/281182847.jpg
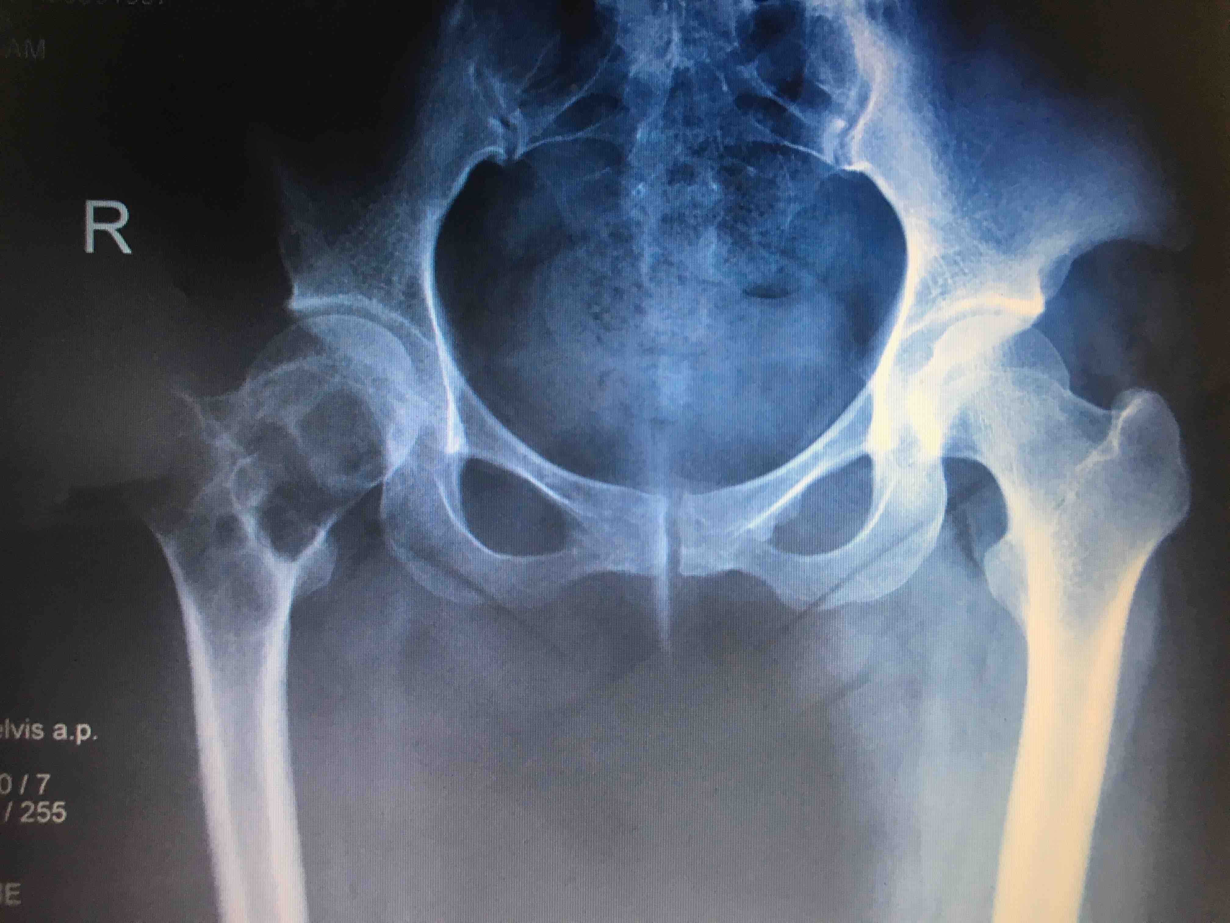
敲黑板:问病史的时候,患者诉左髋关节做过手术,虽然不知道什么手术,但是做"4" 字试验要轻柔或者让患者自己完成,如果强行去做很容易出问题。开骨盆正位片,等待结果。
https://pic.wenwo.com/fimg/466552808.jpg
结果回报大吃一惊,左侧股骨颈肿瘤,大部分骨质被吃没了,就剩下一层菲薄的皮质,如果刚刚做"4" 字试验,用力下压,99%要压骨折了。
https://pic.wenwo.com/fimg/664792812.jpg
一方面骨折不骨折治疗方案完全不同,另一方面作为医生可难收场了,现在这个医疗环境你懂的。之前我们科曾经出现过,其他医院也出现过,可能需要走法律途径了。问病史难吗?体格检查难吗?但到处都是坑。
2.坚持原则、胆大心细。之前在青岛2017 山东省骨科年会上周东生教授讲过一次课,短短几行字可谓发人深省。因为正好自己这住着一膝关节置换术后感染患者,是某中医院脊柱大腕的"杰作 ",更深层次的无从考究,但作为医生要汲取教训,尤其是不能做妥协手术。前两天一兄弟来找我,别的医院建议做切开手术,但是他特别想做椎间孔镜微创。其实,做微创并不能根本解决问题,不能为了微创而微创,要果断的说No 。
https://pic.wenwo.com/fimg/25542852.jpg
3.不断学习、提升自己。干医不学习是不行的,不说别的,就某个病的治疗指南都是很快更新,不学习,跟不上节奏就会被淘汰。利用好休息时间,开会学习,并坚持锻炼身体,保持一个好的积极向上的状态!

加载中…