标签:
杂谈 |
娱乐圈很多明星都大方承认过自己整牙,整牙后的他们不但牙齿整齐了,似乎脸型也改变了,不禁让人怀疑他们是不是整过容,每次问到这个问题,不少明星都会回答是整过牙齿的原因。(患者:我读书少,不要骗我!)
https://pic.wenwo.com/fimg/4291870009.jpg
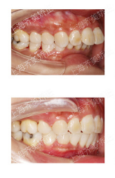
在听说有明星通过整牙来改变脸型后,一些人就蠢蠢欲动。那么正畸真的有那么神奇吗?话不多说,有图有真相!
https://pic.wenwo.com/fimg/5496070015.jpg
那么正畸为什么这么神奇呢?
正畸的原理
这里就不得不提到我们身体里两种神奇的细胞了。
破骨细胞:破骨细胞是破坏并分解骨组织的。
成骨细胞:成骨细胞是造骨细胞,它可以产生新的骨组织。
破骨细胞与成骨细胞就像是一个工程队,其中一个负责“拆迁”,一个负责“重建”,“牙齿矫正就是打破与重建的过程。”说白了就是让牙槽骨溶解再生的过程。
破骨细胞就好似身体里的“拆迁大队”,它们的秘密武器就是一些酸液和酶,用来分解你的骨头,这个过程叫做骨吸收。
https://pic.wenwo.com/fimg/7673370017.jpg
而成骨细胞就是你身体里的“重建大队”,成骨细胞的秘密武器是形成骨基质,负责建造你的骨头,这个过程叫做骨重建。
https://pic.wenwo.com/fimg/932270022.jpg
牙套就像铁轨一样牵引着牙齿“步入正轨”,这时牙龈下面的牙周膜能够感受到牙套的拉力,牙周膜是负责把牙齿固定在牙槽骨的一种组织。它就像“军师”一样,会根据自己感知的压力,指导牙齿排的紧一点或者松一点。
当牙周膜持续感受到拉力的时候,它会意识到牙槽骨这里压力山大啊,这时充当了“包工头”角色的牙周膜就会号召“拆迁大队”的破骨细胞和“重建大队”的成骨细胞在这里更替工作。破骨细胞先溶解牙槽骨,让牙齿调整到新的位置,接下来再让成骨细胞在新的地方把牙槽骨重新长好!你就拥有一口整齐的牙齿了。不过有些人觉得,牙齿整齐了还不够,要是能瘦脸就更完美了,那么正畸到底能不能瘦脸呢?
正畸带来的几大改变
1.对脸型的改变
很多人想知道正畸能瘦脸吗?能!只要满足以下几点,第一牙弓不小,第二拔牙的颗数能对你的脸部基础产生影响,第三,就算满足了前两点,拔牙也只能让你的面颊部有轻微的改变,想通过整牙改变下颌骨形态的话,那整形医生都可以回家睡觉了。
单纯的牙齿矫正并不能改变骨骼的生长,骨骼的宽度是由颌骨的宽度决定的,我们矫正牙齿不可能让整个颌骨变窄。为了瘦脸做牙齿矫正,达不到预期效果。
https://pic.wenwo.com/fimg/6471770036.jpg
那有些人又要问了,为什么我的朋友XXX在矫正结束后脸型明显变消瘦、下巴变尖,这是因为在正畸过程中,上下排牙齿在移动时会出现挺出,导致脸型些微拉长的现象,为了减少紧咬的不适感,会不自觉的放宽咬合距离,上下颌的距离拉开后,就容易给人脸型拉长、下巴变尖的错觉,但事实上脸却没有变瘦。
https://pic.wenwo.com/fimg/7497270037.jpg
原本戴牙套只是一件关于牙齿美观与整齐的事情,但是在近些年越来越多的女明星在被质疑整容时都会强调“是拔牙让我的脸变小了”“脸变小只是因为拔了牙”。那么整牙真的能改变面容吗?
智齿生在骨槽里,拔掉智齿不会改变骨骼形状,更不会影响到脸部的肌肉、脂肪和皮肤,因此起不到瘦脸效果。
既然不会对脸的大小产生影响,那么会不会对脸型产生别的影响呢?比如传说中的牙套脸。牙套脸——就是很多人戴牙套一段时间后,出现脸颊、太阳穴凹陷,颧弓变凸现象。
https://pic.wenwo.com/fimg/1299870038.jpg
也就是因为这种变化,很多人对戴牙套矫正产生了恐惧心理。其实这个变化是有迹可循的。先来看一下这个动图。
https://pic.wenwo.com/fimg/4268570040.jpg
通过上面的动图模仿我们的咀嚼运动,可以看到咬肌的运动和颞肌是关联的。
当我们进行牙齿矫正的时候,会因为带牙套不舒服而减少咀嚼运动,那么咬肌和颞肌自然会在带牙套的这几年内,因为锻炼减少有一定的萎缩,而体现在外貌上就是太阳穴和面颊部的轻微凹陷。而太阳穴和脸颊的凹陷,在视觉上就会让人觉得颧骨变凸。
https://pic.wenwo.com/fimg/6777970041.jpg
出现牙套脸的往往是25岁以上偏瘦、本身颧骨较高或太阳穴较凹的这些成年女性。20岁以下的比较少,因为此时脸上的婴儿肥足够对抗。同理,本身比较胖的人,也可以不用太担心。
为了避免牙套脸,我们可以选择隐形矫正,这种矫正方法在吃饭咀嚼时可以将牙套摘下,这样对咬肌的影响更小,易于避免“牙套脸”。
https://pic.wenwo.com/fimg/5218370072.jpg
当然传统矫正我们也可以通过调节钢丝力度,来缓解牙齿的不适感,从而避免咬肌退化。
如果“牙套脸”真的出现,也不用过于担心,因为牙套脸会在咀嚼功能逐渐恢复后慢慢自行恢复。
2.对突嘴的改变
一般来说轻中度的突面型最理想的解决办法是做矫正治疗,用扩大牙弓,后移磨牙等方法创造前牙后移的空间,如果牙齿拥挤非常严重,则可以采用拔牙矫正,使前牙明显内收,从而改善面下三分之一的突度,获得良好的美观效果。
https://pic.wenwo.com/fimg/5188970074.jpg
有一部分嘴突是因为龅牙,这是我们很常见的牙齿问题。通过常规正畸就可以使牙齿归位。矫正后原本向外翻的牙齿会恢复成正常角度。
https://pic.wenwo.com/fimg/1243470083.jpg
3.对地包天的改变
上颌后缩下颌前突也就是我们口语中所说的“地包天”,下面的牙齿咬合在上面牙齿的外部,会出现下颌体长,上颌支短、下颌角钝、下颌发育过度,上颌发育不足等情况,并且严重影响美观。
https://pic.wenwo.com/fimg/3466270065.jpg
上面是正常的上下颌与牙齿的关系,下面是下颌发育过度,上颌发育不足,导致下颌突出的地包天现象。(通过下图我们可以看到,地包天这种情况的人下颌的长度比正常人长很多)
4.对牙弓的改变
正常人牙弓的外形,呈现为比较整齐规则的弧形,两侧对称,协调自然,并各自与个体的面型、牙型相一致。这不仅能保持牙在颌骨上的稳固性,以便发挥其最大的咀嚼功能,并能保护牙周组织的健康及支持颌面部的软组织,使颜面外形丰满美观。
很多人担心带上扩弓器后脸会不会变大,其实戴扩弓器的目的是为了扩大上下颌牙弓的宽度和长度,并不是扩大颅面所有骨头的宽度,脸型不光跟牙弓宽度有关系,还跟颧骨高度、咬肌、颊肌和下颌角的宽度密切相关,并且牙弓宽度对面型的影响肯定是低于以上几个因素的。
如果你也有牙齿矫正方面的问题,欢迎关注我的微博:牙齿矫正正畸袁峰,欢迎私信咨询!

加载中…