【病案讨论】腰椎间盘突出症与子宫相关疾病鉴别
标签:
健康腰椎间盘突出症腰部患者退行性骨关节病 |
患者:凌某某,女,57岁。
主诉:腰骶及腹部疼痛1+年。
现病史:
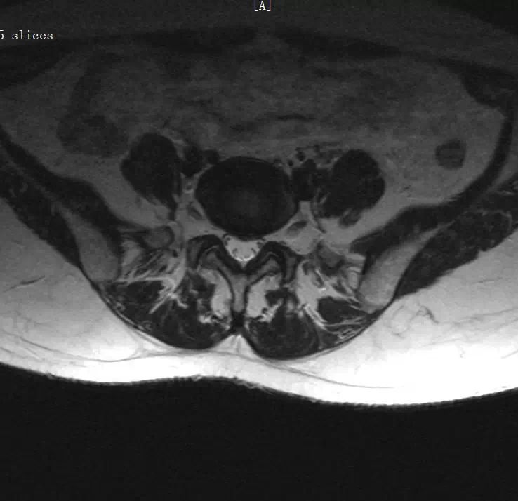
患者自诉1+年前,长途旅行后出现腰部酸胀痛,伴小腹坠胀,便意明显,无明显加重缓解因素,无腰骶部晨僵痛,无行走间歇性跛行,后曾于“省人民医院、妇女儿童医院”诊疗,未发现“妇科及腹部病变”,于2014年来我院住院治疗,诊断为:
1、腰椎间盘突出症(L4/S1)。
2、腰椎退行性骨关节病。
3、骶尾部筋膜炎”给予康骨五联治疗,患者腰骶及腹部症状略改善。
后患者先后多家医院诊疗,并于2015年1月于“省医行腰椎间孔镜治疗”,患者自觉腰部症状无改善。
现症见:腰部酸胀痛,左腹股沟、会阴、少腹部放射痛,遂再次入我院。患病来,其未有潮热盗汗、乏力消瘦等症,患者精神可,饮食二便调,睡眠一般。
既往史:
否认“肝炎”、“肺结核”病史,否认重大外伤史,行胆囊切除术,否认输血史,否认药食物过敏史,预防接种史不详。
个人史:
生于当地,未到过疫区,无传染病接触史,否认重大精神创伤史以及冶游史。不嗜烟酒;
婚育史:
已婚,已育,配偶及子女均体健。
家族史:
无家族传染性、遗传倾向性疾病史。
月经史:
初潮12岁,月经周期 28天,经期4天,绝经于46岁。
专科情况:
患者腰部生理弧度可,腰部活动度可,腰背部肌张力略高,L4—S1棘间以及椎旁压叩痛(+),以L4—S1左侧为甚,双侧臀上皮神经压痛(+),挺腹试验(-),双直腿抬高试验:(-),加强征(-),梨状肌紧张试验(-),阔筋膜张肌紧张松弛试验(-),双下肢皮肤浅感觉正常,双下肢未见肿胀,双下肢肌力Ⅴ级,膝、跟腱反射(++),巴彬氏征(-)。
入院初步诊断:
中医诊断:痹症
症候诊断:肝肾亏虚、气滞血瘀证
西医诊断:1、腰椎间盘突出症(L4/S1) 2、腰椎退行性骨关节病 3、骶尾部筋膜炎 4、腰椎椎间孔镜术后
我院专家组提醒大家:脊柱乃百病之源,当你有久未治愈的疾病,请考虑下是否有脊柱相关的疾病!
扫描二维码关注官方微信了解更多健康资讯
--------------------------------------------
谢谢您收听“四川奥斯迪康骨医院”官方微信:
更多丰富内容,尽在官方网站
https://mmbiz.qlogo.cn/mmbiz/jiaAibRibPznSGl9lZUic4mFs5PmiauGhq068rLHSfPq4m4iaSVhTdSBs3dphYyTics1L3RtEI2rcsGKVaFfnzs8KMxicw/0

加载中…