加载中…
个人资料
  • 博客等级:
  • 博客积分:
  • 博客访问:
  • 关注人气:
  • 获赠金笔:0支
  • 赠出金笔:0支
  • 荣誉徽章:
正文 字体大小:

子宫肌腺症-------痛经的一个常见原因

(2016-11-18 03:59:15)
标签:

杂谈


        又名“子宫腺肌症”,英文Adenomyosis。

        提起子宫肌腺症,这是一个让很多女性头痛的问题,主要表现就是重度的痛经,痛经有可能没有任何原因开始,也有可能在某次宫腔手术以后出现,逐渐加重,到难以忍受,有些甚至需要口服止痛药控制。通常会合并有不孕、月经过多、性交痛和子宫增大的表现。

        肌腺症的成因不清楚,有可能是和子宫内膜的损伤有关,也和遗传部分相关。从病理上看,在子宫肌层内可以看到子宫内膜的出现,由于这些子宫内膜腺体会在月经期也会象在子宫腔内的内膜一样出血,但是出的血却出不去,因此会导致严重的疼痛。

https://mmbiz.qlogo.cn/mmbiz/RplwI4Dat9sk75ZE673Jia7BU3qBSrFWqsvOomNPMmF6PwRay1HCaIgHKibwuR36zAONdsfsmcJzdeVhxGZJ6DEA/0

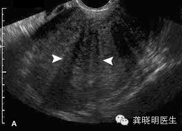
        子宫肌腺症若是通过超声检查,往往可以发现子宫壁增厚,出现结构紊乱。

https://mmbiz.qlogo.cn/mmbiz/RplwI4Dat9sk75ZE673Jia7BU3qBSrFWqGLVkx9ia8QuAHKjuIUkiaiaQCCt7jmXv8lz1ib7lAOQ9poQJd5QeJ20SCw/0

   核磁共振检查也会有类似的发现,可以发现肌层有明显的增厚和结构紊乱,在核磁共振上更加明显。

https://mmbiz.qlogo.cn/mmbiz/RplwI4Dat9sk75ZE673Jia7BU3qBSrFWqBcCh2MtehvPwCUN6ZrjjgjF0qdcgkZicKmmbrNTKEbu4ncOI74hib8LA/0

   通常情况下检查血的Ca125指标会有升高(不必紧张,通常不代表是癌的表现)。

   肌腺症在子宫内部若是局部形成一个象肌瘤一样的结节,在超声上可能会比较局限,看起来象是一个肌瘤,但是通常边界不如肌瘤清楚。


        肌腺症导致的痛经和不孕往往难以处理,目前在治疗上也是一个比较棘手的疾病。轻症的患者,可以口服止痛药控制痛经,有生育要求的患者,可以先积极尝试怀孕。

        肌腺症若是痛经症状较为显著,往往需要进行干预。

        保守性的治疗方案可以先尝试口服避孕药,短效避孕药可以使得部分痛经患者的症状减轻,不便之处则是需要长期坚持口服。


        曼月乐是近年来出现的一种新型避孕环,环上带有孕激素,可以缓慢在体内释放,可以维持5年,若是患者子宫不大,曼月乐也可以有效地控制痛经和月经过多的症状。曼月乐的缺点是不适合于有生育要求的患者,若是子宫较大,也不合适放,放环以后有部分患者可能会出现脱落。放环以后会出现月经量大幅度减少,不少患者在前6个月内比较容易出现月经紊乱的情况,在6个月以后会得到改善。

https://mmbiz.qlogo.cn/mmbiz/RplwI4Dat9sk75ZE673Jia7BU3qBSrFWqrHkg1ibJz1gwicxE3DbcrIBFMzeIb8Xlv59qxQibiaWa0iaxxQUyI1UkiaFg/0


        若是保守性治疗方案效果不佳,则需要考虑手术治疗,目前手术治疗分保守性的肌腺症病灶切除和根治性的子宫切除。若是有生育要求,一般来说都是做子宫病灶的切除,通常可以在腹腔镜微创手术下完成,若完成了生育,没有生育要求,选择病灶切除虽然也是可以,但是因为肌腺症病灶往往比较弥漫,手术有的的时候不易切除干净或者在切除子宫容易有出现复发的情况,所以若是可以接受,则倾向于选择做子宫切除,若痛经仅仅是由肌腺症导致的问题,通常可以获得完全的缓解,部分患者若是合并有子宫内膜异位症,则痛经有可能缓解不完全。


高强度聚焦超声治疗是近年来出现的一种无创治疗的技术(参阅:《不开刀也可以治疗子宫肌瘤》),它不是一种开刀的手段,通过一个凹凸镜样的聚焦超声设备,将超声波介导到子宫上,将病灶消融的一种技术,它最大的优点是恢复快,无手术疤痕和手术粘连的担心,研究提示经过高强度聚焦超声治疗后患者平均的痛经程度减轻了3分,我们不少的患者在治疗后甚至痛经症状完全消失。由于没有手术疤痕的问题,即便再次出现了疼痛,也可以二次治疗。对于有生育要求的患者,尽管有不少治疗后妊娠的病例,但是由于目前研究数据较少,是否一定比手术要好还没有结论。


https://mmbiz.qlogo.cn/mmbiz/RplwI4Dat9sMwXqFsToKhn9JVq9F03zEbPuOXMZCYBt65cXCetgTPSv8DZNlqu1NJh04MibhP0XQzej3hd4zicZg/0

对于有生育要求的肌腺症患者,若是自然尝试妊娠不成功(肌腺症发生流产、胚胎停育的情况比正常人群要高),通常需要辅助生育的方法进行助孕,若是子宫内病灶局限或者过大,可以先行腹腔镜手术切除病灶或者高强度聚焦超声治疗消融病灶。若无可切除的病灶,也可以用GnRH-a萎缩病灶以后再行试管的方法助孕。在过去肌腺症往往被判断为生育困难,近年来的尝试使得肌腺症的生育逐渐成为可能。当然,也有部分患者尽管经过多种方法的努力,仍然无法怀孕的,代孕可能成为唯一的解决方案,目前代孕在国内仍然是非法的,只能去国外来完成,但是费用昂贵(了解代孕,请回复“代孕”)。


总之,肌腺症是一个解决起来比较棘手的问题,生育也比较困难,高强度聚焦超声治疗是一种新的保守治疗方案,子宫切除可能是根治子宫肌腺症的一个方法。


~~~~~~~~~~~~~~~~~~~~~~~~~~~~~~

加微信公众账号龚晓明医生,回复“04”查看历史文章,回复“02”查看门诊预约


龚晓明 医学博士

妇产科自由执业医师

沃医妇产名医集团联合创始人

前北京协和医院妇产科、上海市第一妇婴保健院妇科医师


医疗咨询好大夫网站:http://gongxm.haodf.com

微信公众账号:龚晓明医生

新浪微博:@龚晓明医生

2014年12月10日于MU 5156航班

2016年11月18日更新于LA

https://mmbiz.qlogo.cn/mmbiz_jpg/RplwI4Dat9vn23p0rgl8s4iaLkNqy3zkaccP2d0HRaTu8Wp0MOXZUqo2l4HTju5HT0THFUfgaq4ekT00sWibwuNA/0?wx_fmt=jpeg



0

阅读 收藏 喜欢 打印举报/Report
  

新浪BLOG意见反馈留言板 欢迎批评指正

新浪简介 | About Sina | 广告服务 | 联系我们 | 招聘信息 | 网站律师 | SINA English | 产品答疑

新浪公司 版权所有