成都牙科医生任欢给大家讲一讲:儿童矫正早期干预矫正有什么好处?
标签:
健康口腔科普牙齿矫正牙齿矫正过程 |
分类: 牙齿矫正 |
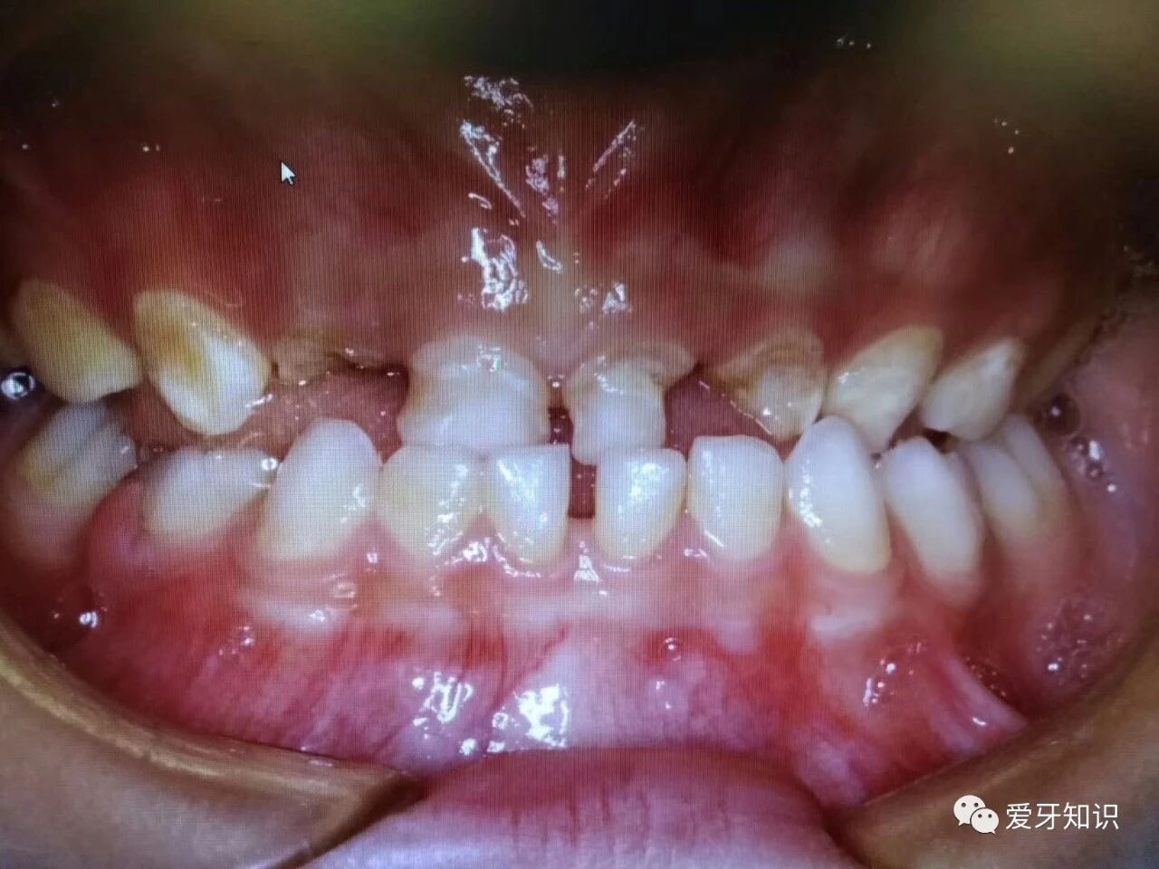
前不久一孩子妈妈带着孩子来我院咨询矫正,面对孩子日渐严重的地包天,妈妈悔不当初:“早知道就早点来了,小的时候就发现了,孩子爷爷说没事不要紧,换牙后一切会好的。”
我就没当回事,现在初中牙齿也换得差不多了,不但没有好转,而且地包天越来越明显!孩子在众人面前内向,不爱讲话,不爱笑,对交友产生了严重的心理障碍。真的后悔没有小的时候就来矫正!”
你家的宝宝会有以下坏习惯吗?
吮指,咬绳子,手摸牙,剔牙,托腮,咬唇,咬铅笔,吐舌等等。
儿童的不良习惯,对牙齿危害很大
咬上唇---导致反颌
咬下唇---导致深覆合
允指---导致局部小开颌
吐舌---导致前牙开颌
一系列不良习惯都有可能会
导致牙齿不齐,深覆合,地包天等
长出恒齿后牙齿能自然地排列平整那是最好的,
但是如果还出现门牙中间缝隙大,
不齐整的问题该怎么办呢?
牙齿矫正
因为恒齿的大小在比例上比颚骨小,
这时就需要进行牙齿矫正。
此外牙齿因为空间不足长成暴牙,
或者门牙像兔牙一样突出的情况都需要进行矫正。
5-12岁是儿牙矫正黄金期,
一般7~8 岁时进行矫正比较好。
以前认为13 岁后恒齿长齐了之后矫正比较好,
这是一个认识误区。
治疗得越早,时间越短,所需费用也越少。
矫正上下牙齿不能正确咬合的错位咬合也是越早越好。
错位咬合不仅不美观,
而且容易引发虫牙等牙齿疾病。
上下牙齿没有正确配对,
所以不能很好地咀嚼食物,
牙缝中间容易堵塞食物残渣。
即使一天刷三次牙,
刷得再认真也不能去除牙缝中间的食物残渣。
所以会比正常的孩子容易生虫牙,
也容易患相关疾病。
如果孩子经常出现用嘴呼吸,吸手指,
或者吐舌头等现象就有可能是错位咬合。
引起错位咬合的原因有多种
现在的孩子不喜欢吃硬的东西,
下颌越来越尖,
也容易出现虫牙。
所以乳齿脱落时,
新长出来的牙齿有可能会前倾。
如果上下牙齿都长得不好,
一定在恒齿长出来之前进行矫正。
骨骼会随着发育变硬,
所以如果错过了矫正期,
就有可能导致下颌前凸。
小时候颌骨没有完全定型,
所以早点接受矫正效果比较好。
不早期干预的7大危害
1影响容貌:
由于舌习惯等不良口腔卫生习惯上下颌骨不协调,牙齿前突,凸面型,开合导致上下颌不能闭合
2容易发生牙外伤:
前突的牙齿容易受力过大时形成牙外伤
3咬合创伤:
咬住上颌舌侧或下前牙唇侧牙龈,引起牙槽骨吸收甚至牙齿松动等
4影响口腔健康:
排列不齐的牙齿,容易积存食物,刷牙也刷不干净,易龋坏,牙周炎甚至牙周病
5影响发音:
牙齿有间隙,影响发音
6影响心理健康:
龅牙的孩子在学校里容易成为同学取笑,嘲讽的对象,影响孩子的自信心。
7成年再矫正:
矫治难度大,痛苦大,费用高(有时候需要正颌手术)
牙齿不整齐的矫正要越早越好,儿童时期矫正牙齿不仅效果好,并且可以避免长大后因为牙齿不整齐而影响到正常的找工作、恋爱已经晋升等等,同时尽早的矫正牙齿还可以避免影响到孩子的心理发育。
想想也知道,如果儿童牙齿畸形又常常被人称呼自己是“龅牙妹”、“丑八怪”等,长时间还会收人排挤,给儿童正常的心理发育造成阴影。而只有尽早的矫正不整齐的牙齿才可以避免。
为什么我建议做早期干预?
1.在孩子骨头成熟前,更好地利用生长潜能;
2.降低拔牙概率,降低正颌手术概率;
3.早期干预,费用低;
4.及时控制发育中的异常,避免复杂情况出现;
5.降低二期治疗的难度,效果更好且稳定;
6.降低复发概率。
什么时候做合适?
许多家长因对错合畸形的认识有限,家长来到医院的时候都有共同都感慨,孩子换牙前牙齿如何漂亮,但是换牙过程中出现问题了,普通牙医指导他们在换完牙后来治疗,从而错失矫治的最佳时机,甚至严重的需要手术。
个别牙齿地包天。
前牙地包天。
当然开颌,龅牙,深覆颌,牙齿不齐拥挤,都可以早期干预矫正的。
一般情况下牙齿正畸的最佳年龄是3-12岁左右,如果孩子不是很听话建议5岁后做早期干预。此时,孩子整个牙弓基本发育完全,正畸医生可对牙齿畸形的类型做出明确诊断,采取合适的正畸方法。比如扩弓啊,戴mrc矫正啊,个别牙齿戴牙套矫正啊等等。
事实上,在乳牙列期开始有“地包天”、张嘴呼吸和咬嘴唇等不良习惯导致牙颌发育随着生长越来越严重的情况需要早期干预治疗。在乳恒牙替换过程中最容易出现牙齿萌出异常和咬合干扰导致错合畸形。这些问题需要在早期去除这些不良习惯,短时间内把潜在的危害解决掉,阻断颌骨不正常的发育,减少后期矫治的需要和难度,降低矫治中拔牙率和副作用,避免成年后再正颌手术。
因此建议儿童在3~12岁时需要正畸医师检进行定期检查,观察颌骨是否发育正常,通过干预帮助牙齿的萌出到正常位置。此外,该阶段骨骼改建速度快,可塑性高,给牙颌面好环境自己长到正确位置,更稳定。早期预防矫治周期短费用相对低,不容易出现正畸过程中可能的副作用。同时孩子定期到医院检查牙齿,从小养成看牙、护牙的习惯。
正畸是口腔医学中最为专业的学科,儿童预防正畸治疗观察周期长,需要更多预见性。选择有丰富的经验的儿童正畸医师长期跟踪和治疗更加有保证。要把牙排齐很容易,但要保护牙齿本身的健康,保证美观和疗效稳定就需要正畸医生心灵手巧多年的积累专业。
也告诉各位家长们为什么要进行儿童早期矫正!
早期矫正适合3岁-12岁的儿童!
早期矫治处于生长发育快速期,可以充分利用生长发育优势,消除引起畸形的病因,阻断畸形的进一步发展,引导面颌正常发育。
在患者年龄较小时进行矫治,选择矫治方法和矫治比较简单,对社会活动比较简单。
早期儿童畸形干预,减少后期治疗的复杂性,矫治效果可以更好,费用更低。
早期矫治可及时消除畸形,防止畸形给儿童造成心理和生理上的伤害,
错颌畸形的早期预防和矫治,可降低畸形严重程度,避免今后可能的的正畸治疗或降低矫正难度。
早期矫治更注重肌肉功能协调,稳定后期颌骼发育。
了解更多儿童牙齿矫正问题,微信找我了解!

加载中…