四川南充的患者,矫正选择来成都,不惜长途跋涉!
标签:
健康口腔科普牙齿矫正牙齿矫正过程 |
分类: 牙齿矫正 |
牙齿矫正,在口腔医生的口中叫做“正畸”。现在,有越来越多牙齿不整齐的患者选择牙齿矫正,因为它不仅仅可以让牙齿变得整齐美观,还能提升面部形象,相比矫牙前,可以说是一种全新的蜕变。
找正畸医生,就好比选装修公司。同一套房子,不同的装修公司,会有不同的装修方案。牙齿矫正也一样,好的正畸医生会除了对患者的牙齿状况有良好的评判能力和治疗能力外,还会对矫正后的牙齿结构健康有很好的把控和预判。不要一味的寻找低价,不要贪小便宜。一分钱一分质量,一分责任。
下面就给大家分享一个四川南充的患者,矫正来成都的历程!
这位患者是通过微博找到她现在的正畸医生的,也许就是粉丝的力量吧!
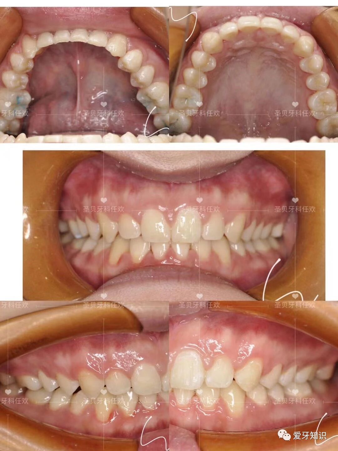
患者开始的牙齿情况就是前牙开颌,不仅影响了美观还影响了牙齿的咀嚼功能。你不能感受门牙咬不了东西的感觉。
下图是患者矫正三个月的时候,垫高然后配合挂橡皮筋,达到了切对切。这期间其实非常的难受,但是这位患者配合的特别好!
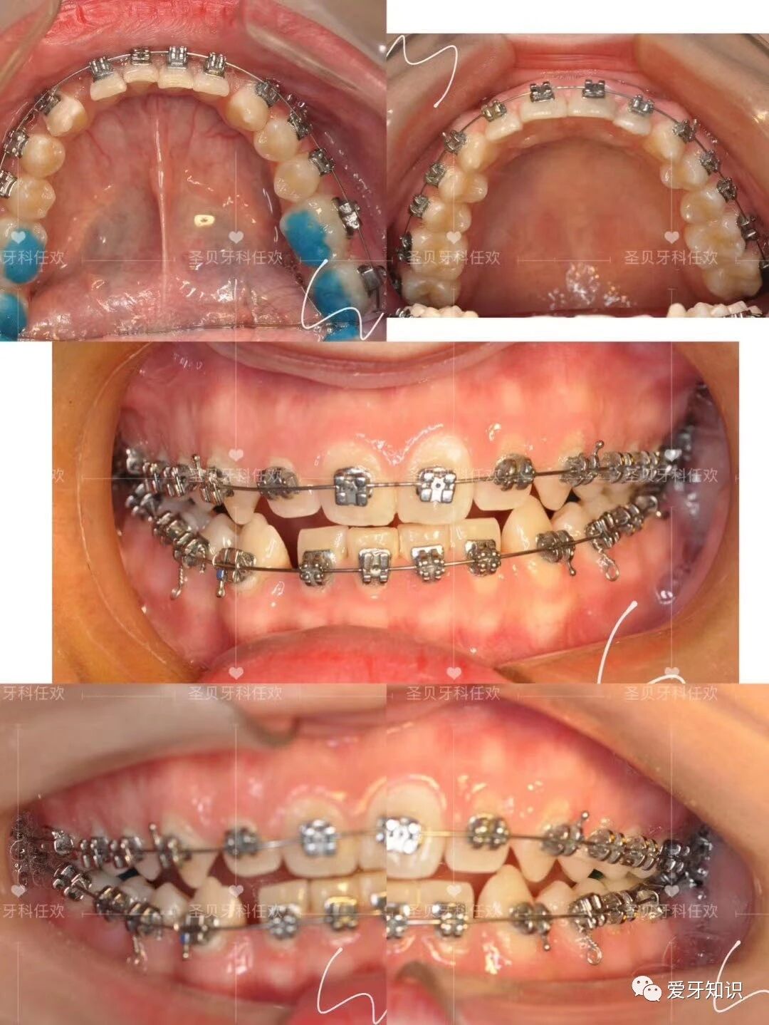
患者家住在南充,每次复诊都要来成都,不怕辛苦也不惜长途跋涉,所以矫正前医生就推荐患者选择进口3M金属自锁托槽,进口金属自锁可以2个月复诊一次,当然托槽掉了也需要及时来粘的,每次复诊都是特意从南充那边过来,矫正了两年半左右结束
这就是这位南充粉丝患者的矫正历程,不怕远,不怕辛苦。如果是你的话,在四川会选择来成都找@牙科医生任欢,矫正吗?

加载中…