成都美女们的真实牙齿矫正变化,这就是矫正带来的蜕变!
标签:
口腔科普牙齿矫正牙齿矫正过程健康 |
分类: 牙齿矫正 |
每个人都想拥有健康整齐的牙齿,一口好牙可以让笑容更灿烂,整个人也更加自信。然而在这个世界上,还有很多人因为牙齿不齐、牙齿拥挤等问题而不敢开怀大笑,给生活和工作造成困扰,而通过牙齿矫正,可有效解决这类烦恼。选择一位好的医生,负责的医生非常重要。很多人牙齿矫正盲目的选择或者只在乎低价,最后才知道后悔!
下面给大家分享一个真实的矫正案例!
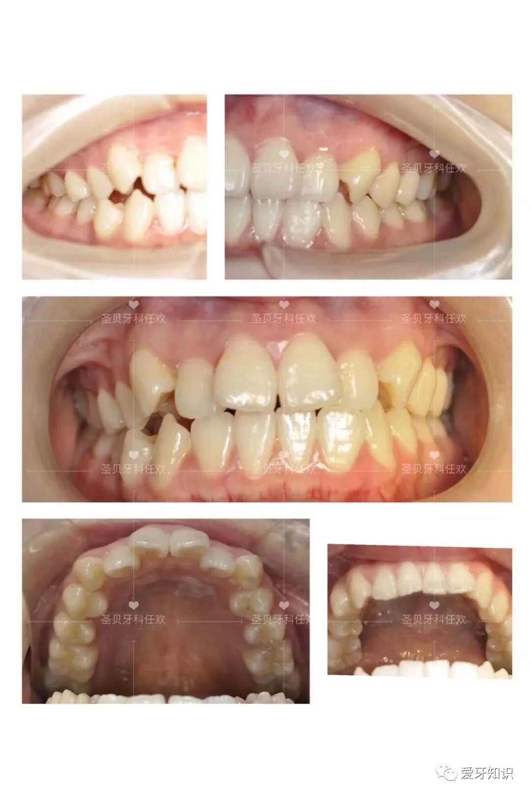
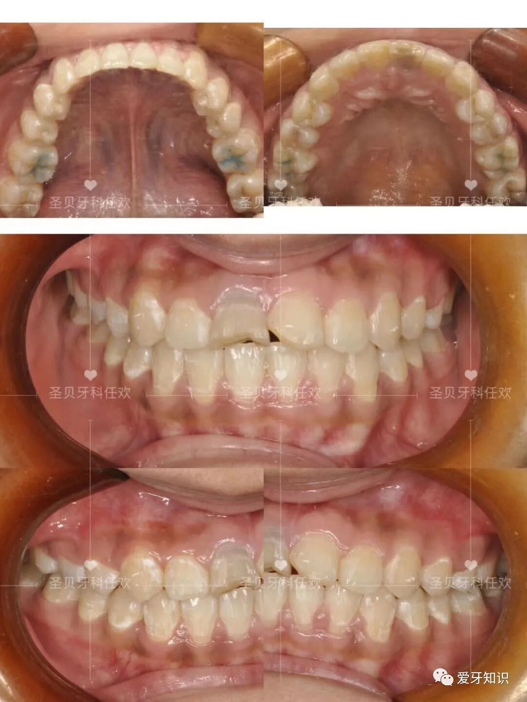
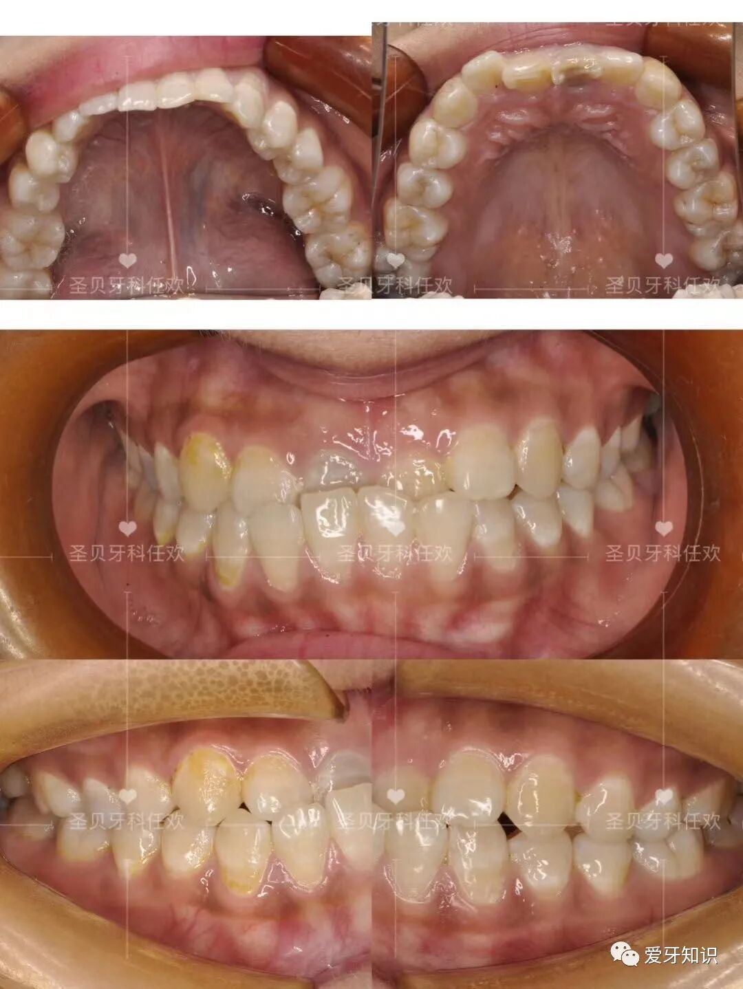
案例一:
成都粉丝患者矫正前后对比!
牙齿问题:牙列不齐,咬合不好。
矫正方案:排平整齐~
矫正时间:两年左右!
今天的分享结束啦
患者开心医生也开心,合影纪念一下!最后嫌弃自己手不够纤细,所以成了一团马赛克!虽然年龄相差十多岁,但是我并不觉得自己老很多!心态最重要!
图片来自任欢医生患者,未经许可禁止转载!
图片来自任欢医生患者,未经许可禁止转载!
矫正前
矫正后
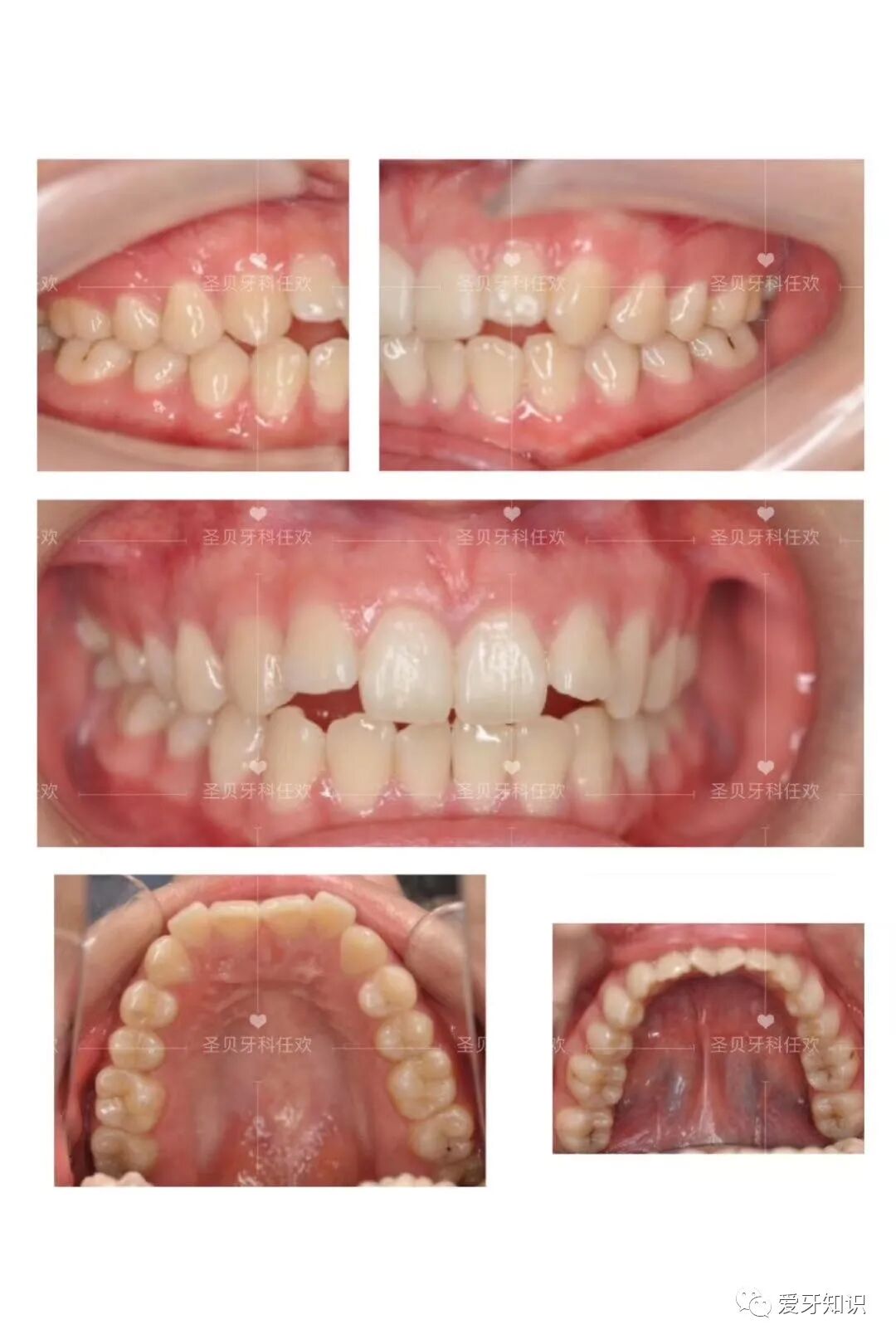
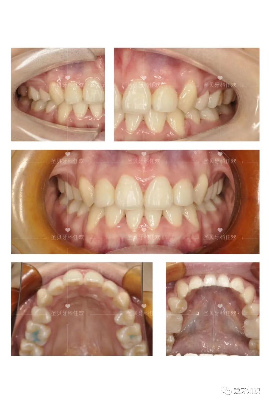
案例二:
成都任欢医生粉丝矫正案例前后对比:
牙齿问题:牙列拥挤
矫正方案:拔除四颗牙,排平整齐,配合较好。
矫正时间:两年半左右
今天矫正结束啦~
以后的每一天都是美美哒!合影留恋开心的瞬间!
图片来自任欢医生患者,未经许可禁止转载!
图片来自任欢医生患者,未经许可禁止转载!
矫正前:
矫正后
案例三:
成都粉丝矫正案例对比:
牙齿问题:地包天
矫正方案:排平整齐
改善咬牙合
矫正时间:一年左右
矫正后建议:后期门牙修复!
矫正前
矫正后
双节同庆请看国庆节活动!
8天时间!8重看牙福利!
微信报名咨询了解详情

加载中…