成都9月任欢医生真实牙齿矫正案例:牙缝,牙齿拥挤,深覆颌都不是问题!
标签:
口腔科普牙齿矫正牙齿矫正过程杂谈 |
分类: 牙齿矫正 |
牙齿矫正,在口腔医生的口中叫做“正畸”。现在,有越来越多牙齿不整齐的患者选择牙齿矫正,因为它不仅仅可以让牙齿变得整齐美观,还能提升面部形象,相比矫牙前,可以说是一种全新的蜕变。找正畸医生,就好比选装修公司。同一套房子,不同的装修公司,会有不同的装修方案。牙齿矫正也一样,好的正畸医生会除了对患者的牙齿状况有良好的评判能力和治疗能力外,还会对矫正后的牙齿结构健康有很好的把控和预判。下面来看看任欢医生的矫正案例!
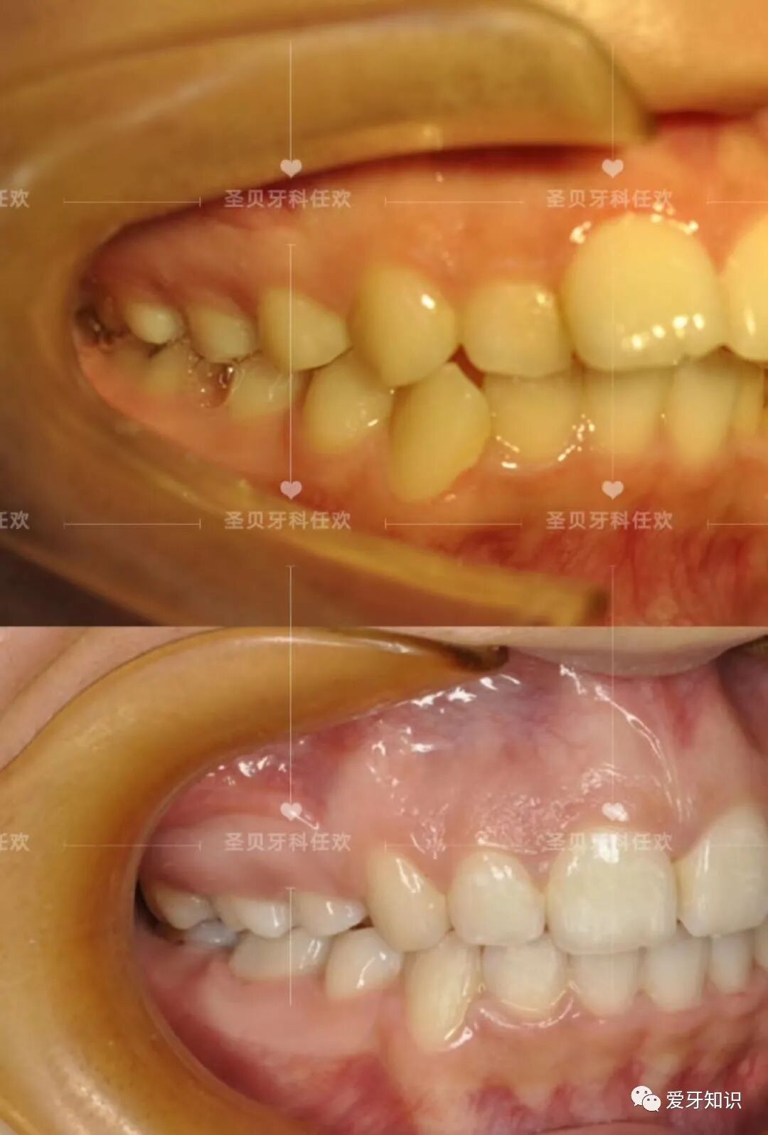
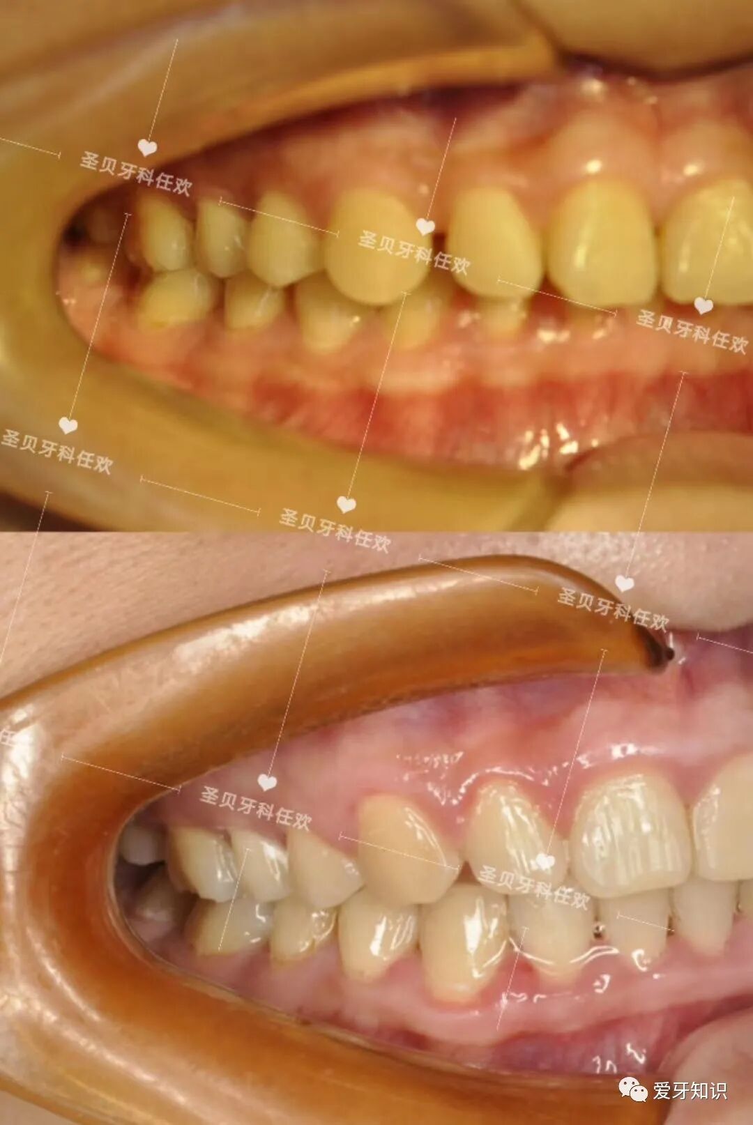
案例一:
牙齿问题:牙齿拥挤,略微前凸。
矫正方案:拔除四颗正畸牙,
矫正牙套:自锁金属牙套。
矫正时间:两年。
矫正费用:9900元(不含拔牙);
矫正医生:任欢
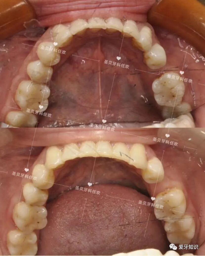
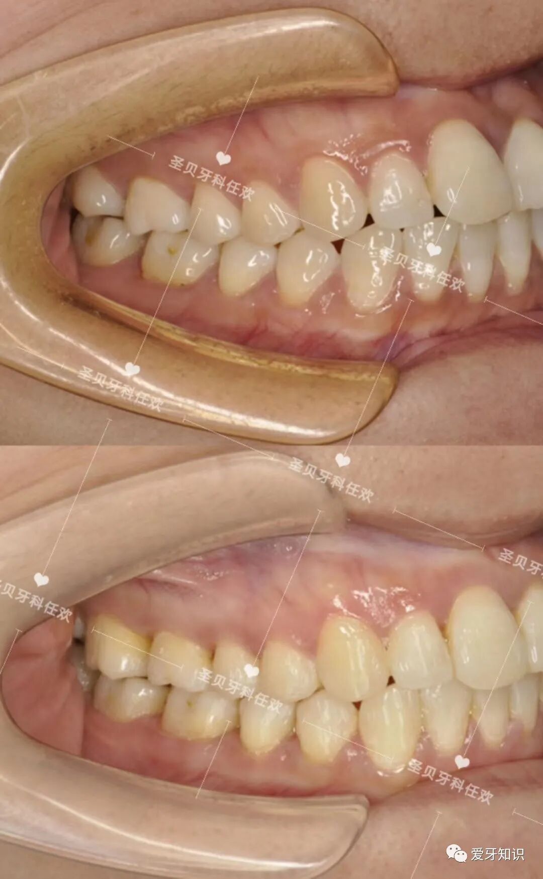
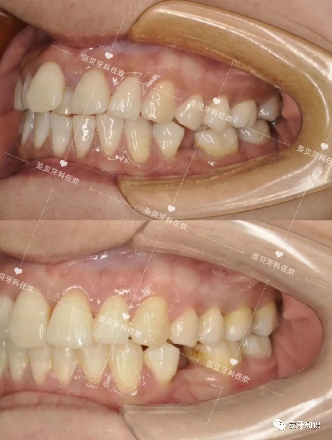
案例二:
牙齿问题:深覆颌,牙齿稀疏。
矫正方法:非拔牙矫正,收缝调整牙齿咬合。
矫正时间:一年半。
矫正费用:陶瓷牙套一万左右。
矫正医生:任欢
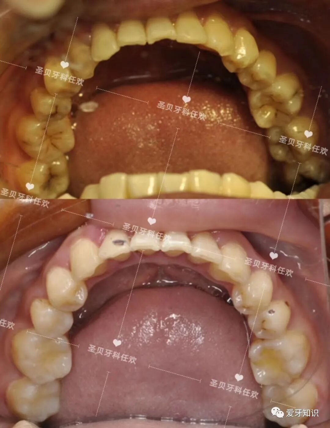
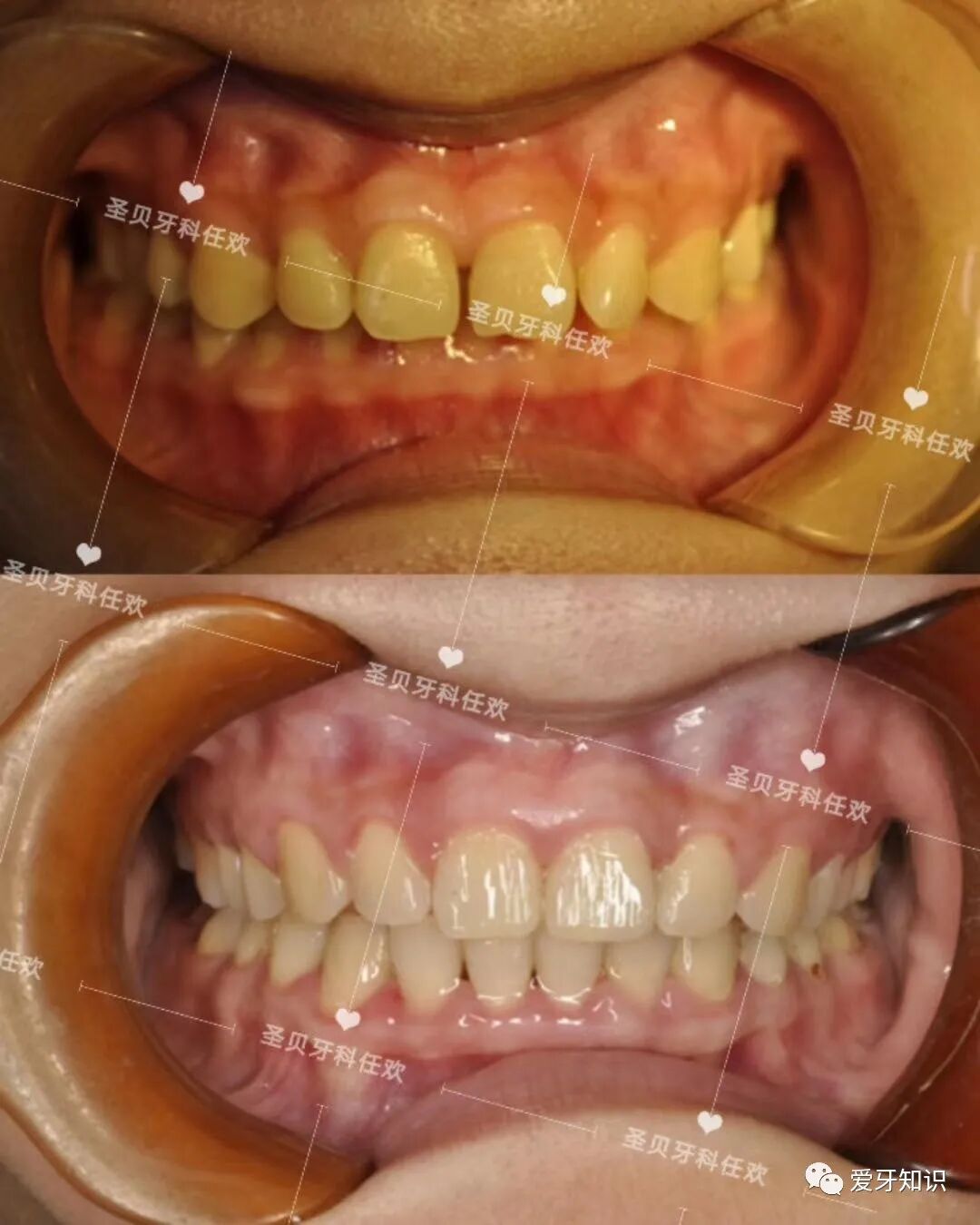
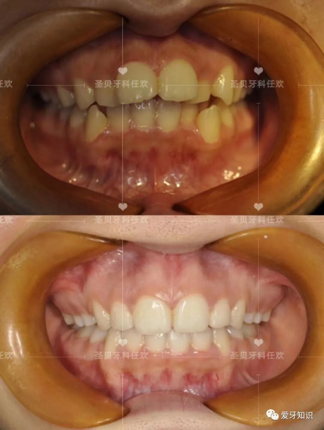
案例三:
牙齿问题,门牙多生牙,牙齿不齐,下颌缺失一颗。
矫正方案,拔除多生牙,排齐牙齿,矫正后预留空间种植下颌缺失牙齿。
矫正时间:一年多。
矫正费用:金属牙套8800元,后期种植牙一颗,费用:5980元。
矫正医生:任欢,,种植医生:丁院长。
温馨提前:矫正期间一定要按时复诊,好好清洁口腔卫生。不要吃太硬太黏的食物。
比如:鸡脚,排骨,猪脚,等等!
如果你也想咨询牙齿矫正问题,可以添加任欢医生微信详细咨询,获得免费拍片检查设计方案的名额。微yakeyi3

加载中…