成都真实患者矫正案例,看看你的牙齿是否可以矫正?
标签:
口腔科普牙齿矫正牙齿矫正过程杂谈 |
分类: 牙齿矫正 |
牙齿矫正,在口腔医生的口中叫做“正畸”。现在,有越来越多牙齿不整齐的患者选择牙齿矫正,因为它不仅仅可以让牙齿变得整齐美观,还能提升面部形象,相比矫牙前,可以说是一种全新的蜕变。找正畸医生,就好比选装修公司。同一套房子,不同的装修公司,会有不同的装修方案。牙齿矫正也一样,好的正畸医生会除了对患者的牙齿状况有良好的评判能力和治疗能力外,还会对矫正后的牙齿结构健康有很好的把控和预判。下面来看看任欢医生的矫正案例!
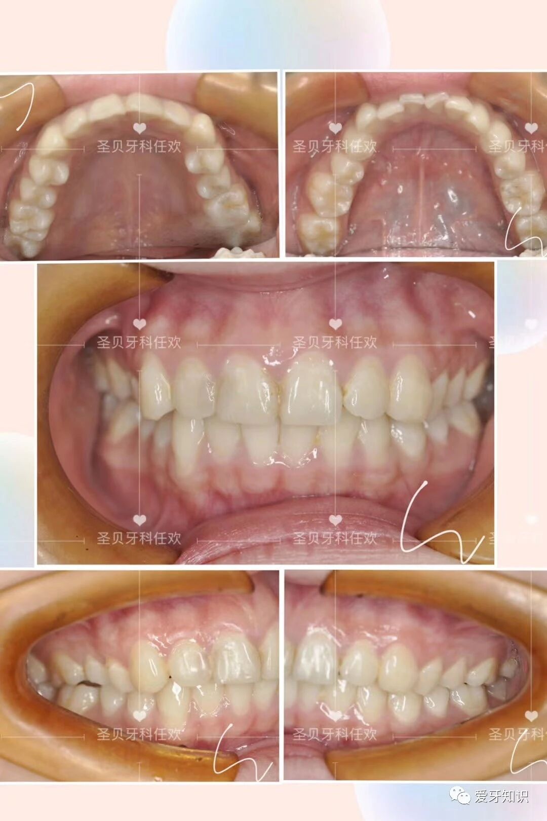
案例一:
隐形非拔牙矫正 ,选择邻面去釉。
矫正时间一年半左右 ,
配合较好,中途精调了一次!
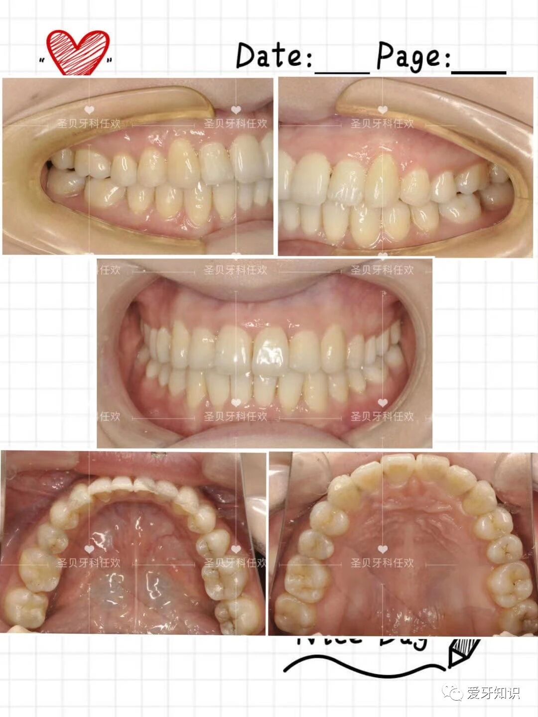
矫正前
矫正后
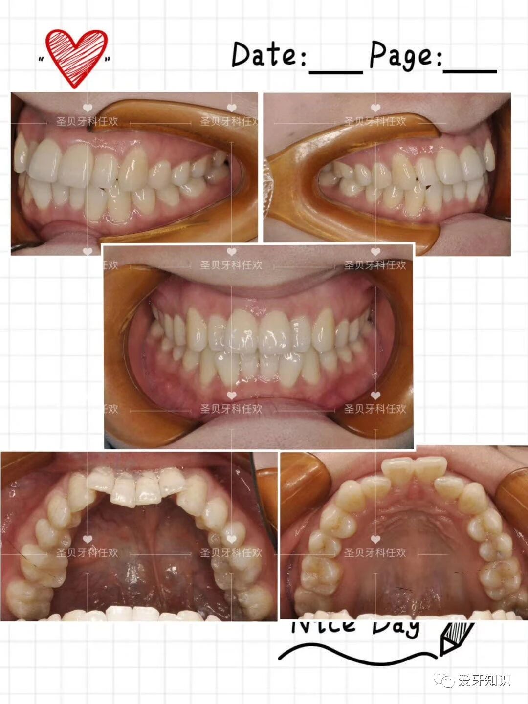
案例二:
牙齿问题:牙列拥挤,B1扭转拔除四颗牙齿矫正时间因为疫情的关系延长到2.5年左右结束,
黑三角不是每个拥挤的病人都有的,还要看口腔卫生以及牙周情况!
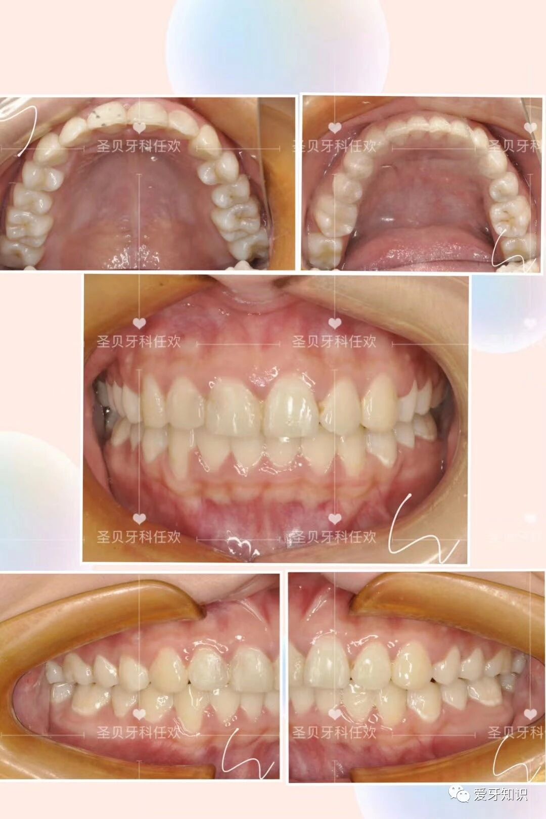
矫正前
矫正后
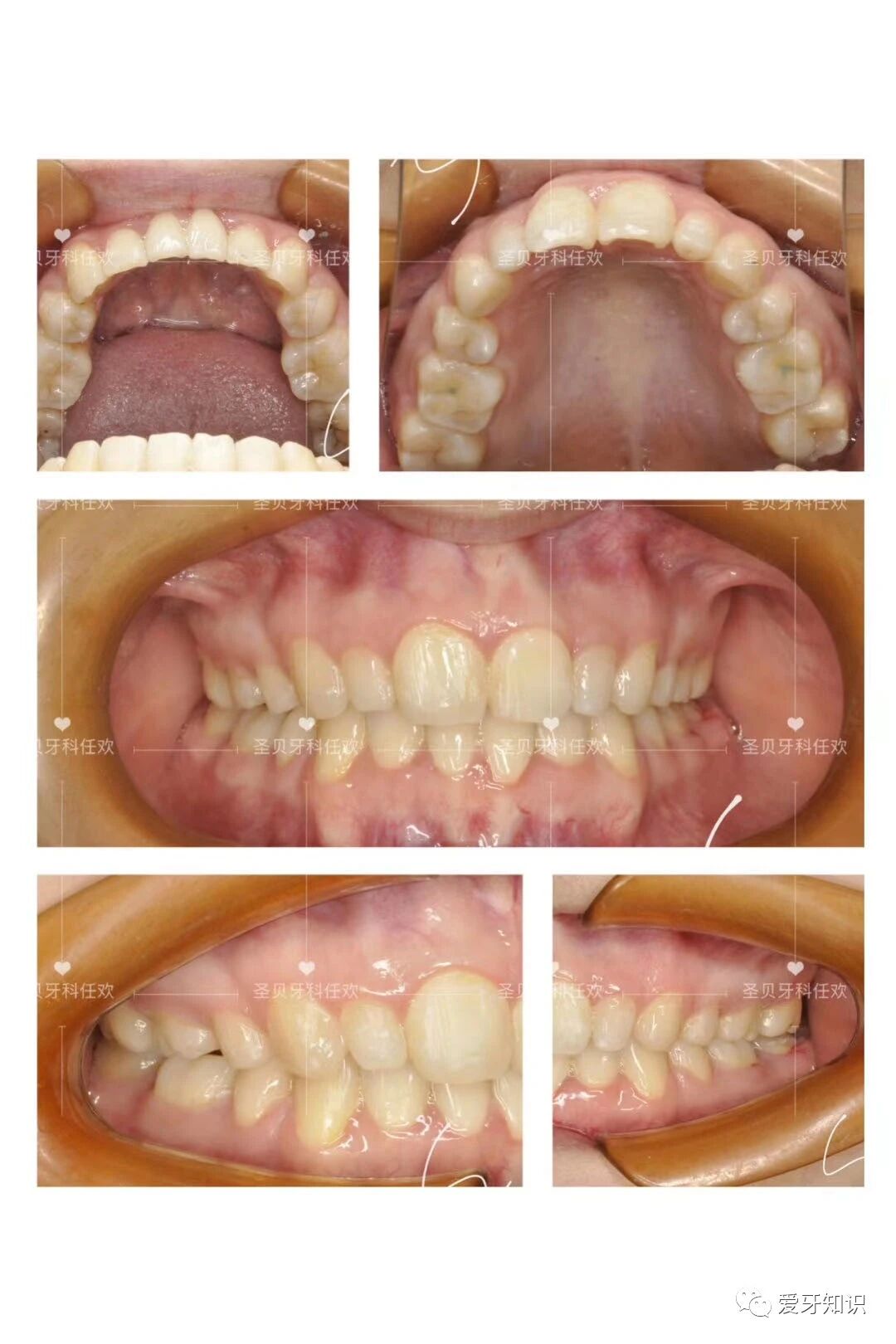
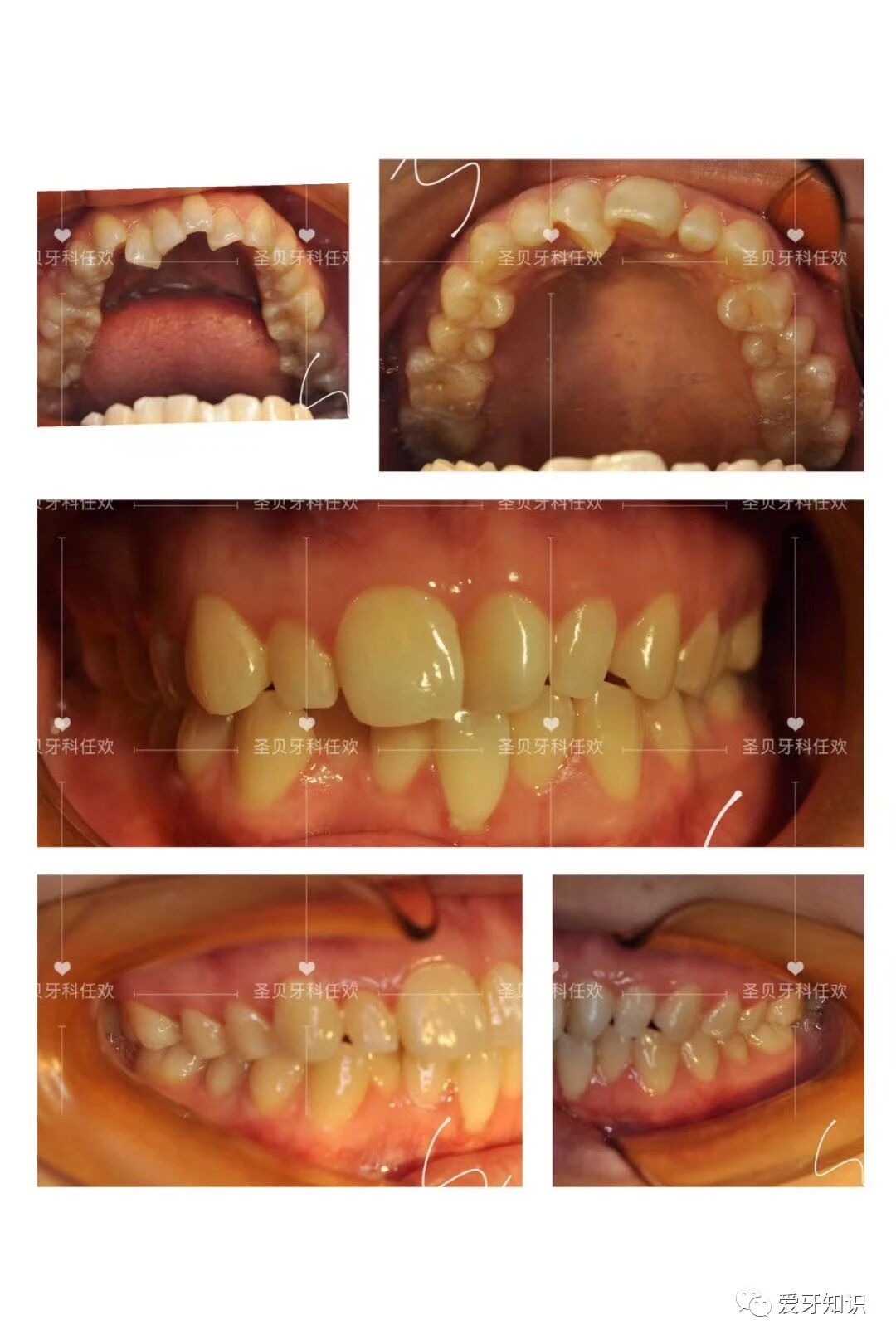
案例三:
成都隐形矫正案例:
这个病例比较简单一年就结束了,但是配合的不是很好经常掉托槽牙刷的不好,仔细看有牙釉质脱矿的情况,a2美学补牙;所以建议大家矫正期间一定要好好刷牙。
矫正前
矫正后
如果你也想咨询牙齿矫正问题,可以添加任欢医生微信详细咨询,获得免费拍片检查设计方案的名额。微yakeyi3

加载中…