加载中…
个人资料
  • 博客等级:
  • 博客积分:
  • 博客访问:
  • 关注人气:
  • 获赠金笔:0支
  • 赠出金笔:0支
  • 荣誉徽章:
正文 字体大小:

误咽异物莫侥幸,及时就医是王道

(2017-02-09 07:52:11)
标签:

杂谈

​       老话说“食不言,寝不语”。别看它老,却有着很深的道理。吃饭要专心,不要讲话,这不仅卫生更能避免因边说边吃造成的异物误咽。可是一旦误咽了异物,传说中的吞咽馒头、喝醋等方法来能够缓解症状吗?正确的紧急措施又是什么?

        “迎财神,吃饺子”大年初五正是阖家团聚的时候。下午两点,北京友谊医院耳鼻咽喉头颈外科急诊来了一位满脸焦虑的中年女性。医生询问病情后得知该患者来自河北邯郸,四天前在吃“枣馒头”的时候,由于边进食边说话,误咽了馒头里的枣。误咽后她觉得咽部疼痛,但并没有及时就医,而是用“土方法”自行吞咽馒头,想将枣核通过食物“顺下去”,但是效果不佳,咽痛的症状非但没有缓解,反而逐渐加重,这仍然没有引起她的重视。

        过了几天,患者吞咽困难的症状进一步加重并出现了右侧颈部疼痛。来到北京友谊医院后,医生通过颈部CT检查看见她的食道入口处有一枣核样异物,食管周围软组织少许肿胀伴有空气密度影,考虑是异物造成的食道穿孔伴有颈部间隙感染。经过急诊全麻硬食道镜终于将异物取出,目前患者恢复良好。

https://mmbiz.qlogo.cn/mmbiz_jpg/G7krU0okCmNh1pOV3WfTEibDM1ya1cYT0sf5Z7hOv8xUpNtAXq3tNiaV95SG7QeCrB6IIxiaqgYpTWEQFuMicXibgbQ/0?wx_fmt=jpeg

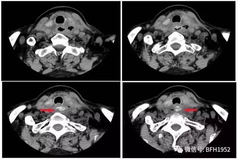
图1 第一例食道异物患者颈部CT平扫,轴位软组织窗可见食道入口处横行枣核样异物,食管周围组织少许肿胀,可见气体密度影

        无独有偶,时隔半天,大年初五的晚上十点钟,耳鼻咽喉头颈外科急诊又来了一位食道异物的患者,患者是一位68岁的老人,三天前她在进食红枣时不慎误咽,但是没有重视,近三天她虽有咽痛及吞咽困难的症状但是仍然未间断进食。在就诊前12小时,她出现了发热,体温最高达到了39.3℃。来到友谊医院后经诊断为食道异物、食道穿孔,且穿孔周围有脓肿形成,考虑到患者出现发热及血象增高,是典型的感染症状,如果不及时清创引流很可能出现颈部脓肿进一步加重,感染中毒性休克等并发症危及生命。

         北京友谊医院耳鼻咽喉头颈外科主任医师刘良发当机立断,决定在急诊施行全麻颈侧切开颈部脓肿清创引流术、食道异物取出及食道修补术。术中可见整颗枣核卡在食道入口处,枣核尖端露出,造成了约0.5*0.5cm大小破损。经过手术治疗目前患者体征平稳,恢复良好。

https://mmbiz.qlogo.cn/mmbiz_jpg/G7krU0okCmNh1pOV3WfTEibDM1ya1cYT0j6cdlNFpfQnPbsFtZmLfwebRIMu5fNSzXbeowgicfGUmOwIaCiag3Iew/0?wx_fmt=jpeg

图2 第二例食道异物患者颈部CT平扫,轴位软组织窗可见食道入口处横行枣核样异物,食管周围组织肿胀,可见气体密度影,左侧甲状腺背叶近左侧颈鞘周围为著,不排除脓肿形成

        食道异物常出现在成年人中,以鸡骨、鱼骨以及枣核多见,多与人们进食匆忙、进食时谈笑有关。一些年老的病人,因为牙齿缺失,脑神经功能障碍导致咽反射减退,吞咽功能障碍等更容易引起食道异物。这些异物因为尖锐容易刺入组织内,不易脱落,但很多患者心存侥幸,企图通过吞咽馒头,米饭等团状食物将异物“顺走”,这就造成一些原本嵌顿于咽部的异物由于食团的带入嵌顿加重或者食道穿孔,增加了异物取出的难度。甚至导致颈部间隙感染、纵膈感染、脓肿、食道主动脉弓假性动脉瘤等严重并发症危及生命。

        在这里,北京友谊医院耳鼻咽喉头颈外科专家要提示大家,进食时尽量集中注意力,切勿边进食边谈笑,避免异物进入食道。如果不慎误咽了异物,您可以第一时间通过刺激咽部粘膜引起呕吐反射的方法将异物吐出来,切不可妄图通过继续进食将异物“顺走”。如果上述方法无法将异物吐出,或者仍然有明显的咽痛、吞咽加重感甚至吞咽困难时请您及时就诊于耳鼻咽喉头颈外科急诊,避免造成更严重的后果。




https://mmbiz.qlogo.cn/mmbiz/G7krU0okCmPQImXvrxGcaWq5acopotbZbGiaG3MP6fgQhO0uB6YENH6aAUicFP7TgefjqibBr9PkhMmeenlz1Qj4g/0?wx_fmt=gif

https://mmbiz.qlogo.cn/mmbiz/G7krU0okCmPQImXvrxGcaWq5acopotbZT5ALcKydWSyLo93nzlEgcQSZc0MEsWWu0eCL31Q2Sf3Te8R1PBpZIg/640?wx_fmt=jpeg


https://mmbiz.qlogo.cn/mmbiz_jpg/G7krU0okCmNh1pOV3WfTEibDM1ya1cYT0ktvuELOiaibS5BjUDpraqyiaFPArjibCPnQpRMZS1RTp0B3FNhG1UEH5lA/0?wx_fmt=jpeg

北京友谊医院

https://mmbiz.qlogo.cn/mmbiz_jpg/G7krU0okCmNh1pOV3WfTEibDM1ya1cYT0rdY0s2gXrOBBDE87iaF1A2XUKLkvMjoicQfZBBAUtMCOIfJ1h9kgAszQ/0?wx_fmt=jpeg

官方微信号:     BFH1952

关注我们:一搜索微信公众号

                    二长按右侧二维码

我们竭诚守护您的健康!

0

阅读 收藏 喜欢 打印举报/Report
  

新浪BLOG意见反馈留言板 欢迎批评指正

新浪简介 | About Sina | 广告服务 | 联系我们 | 招聘信息 | 网站律师 | SINA English | 产品答疑

新浪公司 版权所有