加载中…
个人资料
  • 博客等级:
  • 博客积分:
  • 博客访问:
  • 关注人气:
  • 获赠金笔:0支
  • 赠出金笔:0支
  • 荣誉徽章:
正文 字体大小:

【友谊科普】纳米炫齿浮雕牙,这东西真的靠谱吗?

(2016-11-11 20:42:34)
标签:

杂谈

​         近些日子,我遇到不少患者咨询“3D、4D、5D”纳米浮雕牙、炫齿仿生牙的情况,还对我说现在这类广告很多,不断在微博、朋友圈刷屏,甚至还有相关视频配套学习。为一名口腔科医生,我翻看了网络上一些所谓的成功案例,不免心生疑:没有无菌观念,操作手法业余,甚至对材料的功能作用都不甚清楚,这些是否有行医资质都令人怀疑的“美容师”推荐的东西真的靠谱吗?

https://mmbiz.qlogo.cn/mmbiz_jpg/G7krU0okCmMD12TwKahMtxL1MlwhJE7uZibm9OIB8qHAghMA6IQH1AUs8n2licUK4icoEDpfsnBheD8N4poeERz9w/0?wx_fmt=jpeg

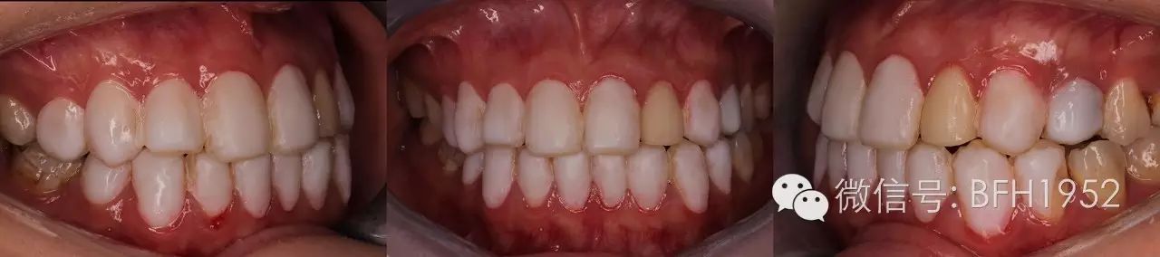
        上周来门诊找到我的一位患者向我描述了这样的情况。3周前她在家门口一家美容机构做了美白浮雕牙,但做完后左侧后牙一直无法正常咬合,现在进食很困难,并且伴有牙龈肿痛,关节区酸痛的症状。

         经过临床检查发现,患者做的所谓“浮雕牙”只能算是劣质的树脂不良充填体——下前牙唇侧叠加了过厚的树脂层形成了早接触,导致左侧后牙无法接触;没有为患者正常恢复邻间隙,使得牙线无法通过,造成食物嵌塞;龈方充填体悬突刺激牙龈、造成红肿出血;粘接失败,导致充填体脱落或部分折断;充填体表面未进行有效抛光,致使菌斑堆积……如果这些问题没有得到及时处理,可以预见,患者龋齿、牙周病、颞下颌关节紊乱等一系列问题都将接踵而至。

         其实一些广告中所谓的“纳米镀膜”、“浮雕半永久美白”在口腔医学界并不是什么新技术,那些非法美容机构中的“美容师”宣传自己是3D、4D、5D炫齿浮雕牙,医院口腔医师只会老实巴交地告诉你这只是树脂贴面;“美容师”告诉你这种新技术什么牙都能做,而口腔医师只会告诉你树脂贴面有严格的适应症,其实大部分患者并不适用;“美容师”告诉你该技术操作简单,随做随走用不复诊,而“口腔医师”会反复叮嘱你每半年都要来一次,复诊抛光;“美容师”会告诉你起码能用上10-20年甚至半永久,而口腔医师只能告诉你树脂贴面寿命一般只有5-8年,并且需要精心维护来保持……如上种种情况之下,不会包装自己的医生们就只能速速败下阵来。

        其实,复合树脂贴面修复是一项高度技术敏感性的修复手段,医生往往需要具备较高的美学素养,在修复前借助美学比色板、标准定位照片、研究模型、诊断蜡型等资料来对牙齿的形态、色调、明度、饱和度、表面纹理、半透明性等一系列指标进行综合评估和设计。而之后的修复过程更是会严格依据术前评估结果,分为数十个步骤逐一进行,这意味着,对1-2颗牙齿的美学修复往往会耗费医生数个小时的时间。

        此外,在整个操作过程中,口腔医生们一般需要全程借助橡皮障系统隔绝口内环境来保证术区清洁和粘接的有效性。在一些细节的处理上,医生们甚至会借助牙科显微镜来完成。而这些是很难通过短期的训练达成的。下面让我们来看看专业牙医堆塑完成的复合树脂贴面,是不是和那些所谓的炫齿浮雕有天壤之别呢?

        说了这么多,到底哪些人适合制作复合树脂贴面呢?@ 龋齿导致前牙切端、邻面缺损或牙体表面浅在的大范围龋损,使用普通复合树脂充填无法满足美观要求;@ 外伤致前牙冠折要求改善美观或年轻恒牙无法进行冠修复者的过渡性修复;@ 牙齿形态异常,过小牙,牙釉质发育不良等;@ 前牙散隙、牙龈萎缩,要求关闭间隙者;@ 中、重度四环素牙、氟斑牙等要求改善颜色;@ 牙齿轻度扭转,咬合功能基本正常,拒绝正畸者;@ 牙齿裂纹、残缺、坑洞的严重个例;

        以上就是复合树脂贴面修复的适应人群,最后建议患者到正规医院就诊,根据个人实际情况对症处理,并遵医嘱按时复诊,以保证获得良好的修复效果。


作者:北京友谊医院口腔科医师     范晓川




https://mmbiz.qlogo.cn/mmbiz/G7krU0okCmPQImXvrxGcaWq5acopotbZbGiaG3MP6fgQhO0uB6YENH6aAUicFP7TgefjqibBr9PkhMmeenlz1Qj4g/0?wx_fmt=gif

https://mmbiz.qlogo.cn/mmbiz/G7krU0okCmPQImXvrxGcaWq5acopotbZT5ALcKydWSyLo93nzlEgcQSZc0MEsWWu0eCL31Q2Sf3Te8R1PBpZIg/640?wx_fmt=jpeg


https://mmbiz.qlogo.cn/mmbiz_jpg/G7krU0okCmNLG3nPzwGVrp2XS1VCG9Qv4olV55qb7HKJ4cm3mBiaTE5riaRsWso3WK0RMNKx4ZbJM467XnRVUHXQ/0?wx_fmt=jpeg

北京友谊医院

https://mmbiz.qlogo.cn/mmbiz_jpg/G7krU0okCmNLG3nPzwGVrp2XS1VCG9QvKla4ZDIVu9zUE5VPZDcB1o2whKiccIFLyUSibib49VdgUkA7PmyRzFIjw/0?wx_fmt=jpeg

官方微信号:     BFH1952关注我们:一搜索微信公众号                    二长按右侧二维码我们竭诚守护您的健康!

0

阅读 收藏 喜欢 打印举报/Report
  

新浪BLOG意见反馈留言板 欢迎批评指正

新浪简介 | About Sina | 广告服务 | 联系我们 | 招聘信息 | 网站律师 | SINA English | 产品答疑

新浪公司 版权所有