当我们在刷牙时,我们可以干些什么?
标签:
佛学 |
当我们在刷牙时,我们可以干些什么?
文/关健明(知乎)
本文系公共账号“bigideaa”授权发布。
上面的答案太有想象力了,深蹲?看美剧?照镜子?忍不住吐槽一下——
这说明你还不会刷牙!
身为一个在口腔诊所的营销策划人,我见过好多60岁牙剩一半的人,我爸妈各缺了3颗牙,我岳父几乎掉光,只能做种植牙,哥哥我按员工价打折,总计还是花掉了10万大洋,哭!为什么掉牙,因为年轻时候就不会刷!
【不会刷牙的后果】
-
门牙黄了
哥门牙就是黄的,就是没刷到位,脱矿了!
http://pic3.zhimg.com/1535c2dea0f3cd7a5a3d0534b65a0572_b.jpg
上面是哥的门牙,靠近牙龈的部分黄黄的。为什么?因为牙齿被细菌破坏,牙釉质表面的钙磷脱落,牙齿就呈微黄的斑点。
我是一个爱美的男子!我问牙医有没有救,他45度仰望星空:“如果蛀出洞了,我可以把黑洞挖掉,填上树脂,也就白了。这种情况你只能买点含氟的漱口水,希望能再矿化,不过估计很难。”
“如果做牙齿冷光美白呢?”我宁愿花2、3千漂白一下,我要明星般的白牙!
“不行!现在牙齿是损伤状态,表面坑坑洼洼,美白剂是酸性的,会腐蚀你的牙齿。”
结论是没辙。一天,午饭后,一个漂亮女同事盯着我看了会儿,问:“你是不是经常喝茶啊,门牙好黄。”
我真的很后悔没认真刷门牙。。
2、深处大牙蛀了
你知道人类有几颗牙齿吗?
除了智齿,我们有28颗牙,可不少哦,而我们经常只刷到24颗,最深处的4颗大牙经常刷不到!
http://pic2.zhimg.com/29aee7b4d075eefb0424e27e7d8d94d9_b.jpg奏是圈出来的这个位置!
为什么刷不到?跟牙刷有关系。
http://pic1.zhimg.com/eff69950bad6167b896f70e45db6a02c_b.jpg市场上主流都是这种大牙刷,把柄粗,长,刷头大,这样一个刷面能多刷几颗牙,效率高,咱中国人讲究速度!
而我和我院长(一个50岁的老牙医,逛了20多届的北上广口腔展)去广州口腔展采购时,她告诉我,牙刷买小头的好,她送了我一把日本的。
http://pic4.zhimg.com/94d9d7a02950be8162408fe92ca2c6fb_b.jpg这牙刷看上去又细又小,刷头没几根毛,也太小气了吧喂!
院长告诉我,大牙刷刷最深处大牙时,由于把柄粗大,刷头也大,会把口腔撑的很不舒服,于是你不自觉就少刷了,食物残渣没刷干净,成了细菌的迪斯尼乐园,细菌兄在里面吃大餐,繁殖,最后把大牙给蛀坏了。而小牙刷就没这问题,我们应该放慢速度,把深处大牙的每一面都刷到!
她应该早点告诉我,我里面2个大牙都已经蛀了,做根管治疗加戴牙冠花了2千大洋。
3、牙周病
没听过这种病?那么应该听过“牙齿上火”吧?
牙龈肿痛,口臭,牙齿流血……真相是牙周病,不是上火这么简单。
严重的时候,就会长牙结石,黄黄的,像石灰一样的污垢,有点恶心,不贴图了,自行百度吧!
牙周病菌会破坏牙龈和牙骨头,牙根像棵树,插在牙龈和骨头里(它们像土),土少了,树根暴露,树就倒了。牙周病后期,牙齿不用拔,病人自己都能拿下来。
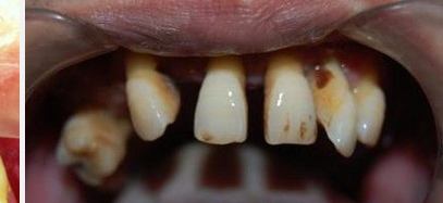
http://pic3.zhimg.com/cac68e2cde0b719b102e2c1d8df0a082_b.jpg
上图就是重度牙周病。
得牙周病的人,常常牙齿表面刷的还可以,牙缝没刷到位。牙齿掉下来的时候,还挺完整的呢!他们的人生轨迹是这样的,40岁开始掉一两颗,于是做了烤瓷牙或假牙,但是没做全面的牙周治疗,然后40-60岁期间,牙齿陆续掉一半,60-70岁掉光。种植牙一颗目前市场价是7k到10k,很多老百姓没钱只能做一边先吃着。
有人觉得上述有点耸人听闻,是不是夸大了。其实牙齿有问题,是逐步积累的过程,一两个月恶化感觉不到,但是5年,10年后,就有质的不同。如果你刷牙方法是你父母传授给你的,你可以看看他们现在牙齿怎样,很可能就是你的未来。有空去医院牙科,看看那些中老年患者的牙齿吧,顺便听听医生的报价,你会有不同感受。
好,我们都要刷到位,怎么做?
看过一个非常棒的视频,【巴氏刷牙法】,这是牙医公认不错的方法。如果你懒得看,我把要点截图给你。
门牙牙缝,你一定要让刷毛斜45度,横着震动着刷,才能深入牙缝,刷出残渣。
有的人觉得震动刷比较累,我请教过牙医,次优的方法是画圈圈刷,也能清除牙缝残渣。
门牙一定要刷够时间,让牙膏里的氟滋润咱的牙,不然就像我一样脱矿黄牙了,请代替我做一名安安静静的美男子!
http://pic4.zhimg.com/3adf0d6df629a49be2bf411accd1c063_b.jpg门牙内侧,我猜80%人都做错,得竖着刷!牙刷从牙龈开始,往牙齿方向刷,把缝里的残渣清除干净!
http://pic4.zhimg.com/0c6a30d3a5dc5d2a757de6498c9de093_b.jpg大牙。这个大家都有刷到,提醒一下,大牙面上有窝沟,残渣藏的深,要有点力刷哦!
http://pic3.zhimg.com/fc5e1be4b5179f1829ce15ce48ffefb2_b.jpg
http://pic4.zhimg.com/d8d44130640975c63adc517207d87f8b_b.jpg别忘了内侧面,细菌可是不会忘的!
刷牙的时候,就别刷微博看美剧了,心里要想着我现在要依次刷:门牙和大牙外面——门牙背面——大牙内侧面——大牙咬合面,心里提醒自己,最深处的那颗大牙别忘了刷!就像洗澡一样,每个部位都要照顾到,这样认真刷,3分钟其实很快过去了。
http://g3.ykimg.com/0100641F46505BE992BE0005398194437DB7D1-5A61-92FA-7E9A-EA68AA59CAE6
巴氏刷牙法_字幕加长版
http://v.youku.com/v_show/id_XNDUzMDA1MTky.html
题外话:
身在中国,普通的吃穿其实不贵,贵的是房子和医疗。中国医保只能管补牙、拔牙,烤瓷牙几百-2k,种植牙7k-10k,都没办法医保。对比这个,你还觉得吃顿饭贵吗?一些基本的牙齿知识,学校不教,zf不说,电视台不讲,但是我们必须自学起来,多花点时间,就能避免花大钱。
老外,刷牙也是不够的,要学会用牙线,这里不展开了。
最后,祝大家人人牙齿白又好,因为我们生活在一个美食富足的国度!
来源邀稿:关健明(前奥美广告人,现HeyJuice品牌总监)
http://www.changweibo.com/ueditor/php/upload/20150619/14346773205958.jpghttp://www.zhihu.com/question/24255499/answer/30670138

加载中…