【佳学基因检测】黄斑变性基因检测:原因及位点列表
标签:
佳学基因基因解码基因检测 |
编著者按:
黄斑变性,是一种悄无声息却极具破坏力的视网膜疾病,特别是在中老年人群中,它是导致不可逆性失明的主要原因之一。
它的早期症状并不明显,很多人只是觉得看东西模糊、变形,阅读困难,灯光刺眼。但随着病情发展,患者的中心视力会逐渐丧失,看不清人脸,分不清字迹,严重时甚至影响独立生活。原本简单的日常,如看手机、刷牙、做饭,变得寸步难行。对家庭而言,不仅需要长期照料,还要承受巨大的精神和经济压力。
研究发现,黄斑变性不仅与年龄相关,更与基因变异密切相关。其中,CFH、ARMS2、HTRA1等基因的变异已被证实是导致黄斑变性的重要遗传因素。尤其是在有家族病史的人群中,这种风险被大大放大。
而现在,通过佳学基因的黄斑变性基因检测,我们可以在症状出现前就识别这些潜在风险。检测过程安全、精准,只需一次唾液或血液样本,就能判断是否携带高危变异基因。
这项检测的意义不仅在于“知道”,更在于“预防”与“干预”:我们可以通过科学的营养补充、减少紫外线暴露、控制慢性疾病等方式来延缓或降低发病风险;对于已经患病的人群,也有助于制定更合适的治疗与看护方案;而对有生育计划的家庭,则可实现遗传风险的早识别与阻断,守护下一代的视力健康。
佳学基因检测,用前沿科技看清未来,让每一个家庭都不再被黑暗困扰。
视界清晰,从基因开始。
黄斑变性基因检测导读
根据《眼科疾病基因检测机构排名》,年龄相关性黄斑变性 (AMD) 是全球范围内导致不可逆失明、眼盲的主要原因之一。除了吸烟和饮食等环境风险因素外,个体基因序列的特殊性早已被确定为年龄相关性黄斑变性 (AMD) 发展的主要风险因素。然而,由于一此医生、患者对年龄相关性黄斑变性 (AMD) 发病机制的分子机制尚不十分了解,预测疾病风险和个性化治疗的能力仍然有限。过去二十年对年龄相关性黄斑变性 (AMD) 分子遗传学的基因解码发现了 52 个独立的基因变异和 34 个独立的位点与年龄相关性黄斑变性 (AMD) 的发展有关,占遗传风险的一半以上。这项基因解码有助于阐明至少五条可能在年龄相关性黄斑变性 (AMD) 发病机制中被破坏的主要途径:补体系统、细胞外基质重塑、脂质代谢、血管生成和氧化应激反应。《黄斑变性基因检测:原因及位点列表》概述了佳学基因检测目前对这些疾病机制及其相关致病基因变异的理解。对年龄相关性黄斑变性 (AMD) 分子遗传学的持续佳学基因解码为开发精准靶向、个性化治疗带来了巨大希望,使采用佳学基因及其相关技术的医疗机构和患者更接近治愈这种使人衰弱的疾病。
黄斑变性基因检测:原因及位点列表关键词:
年龄相关性黄斑变性、AMD、遗传学、CFH、ARMS2、HTRA1、TIMP-3、基因治疗
1. 简介
年龄相关性黄斑变性 (AMD) 是导致不可逆失明的最常见原因之一,影响着全球 45 岁以上人群的 10% 。AMD 导致的进行性中央视力丧失对患者的生活质量有显著影响 ,并带来巨大的社会心理 和经济 负担。随着未来二十年全球人口老龄化,预计年龄相关性黄斑变性 (AMD) 将影响多达 2.88 亿人 ,美国的年龄相关性黄斑变性 (AMD) 患病率预计将翻一番 。
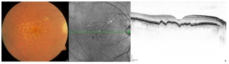
年龄相关性黄斑变性 (AMD) 的特征是黄斑区视网膜色素上皮 (RPE)
和/或视网膜下沉积物(分别称为视网膜小疣或网状假性视网膜小疣)的积聚,通常始于 70
岁以后(图1
https://www.jiaxuejiyin.com/uploads/allimg/2505/0220544325-0.jpg
图
1.(
多种病理生理机制已被证明与年龄相关性黄斑变性 (AMD) 的发展有关,所有这些机制都与 RPE 功能障碍和退化有关。氧化应激似乎发挥了重要作用 。吸烟——增加氧化负荷并削弱抗氧化防御机制 ——因此被认为是影响年龄相关性黄斑变性 (AMD) 发展的最显著的可改变危险因素 。相反,增加饮食和补充抗氧化维生素和矿物质的摄入量是唯一被证明可以减缓疾病进展到晚期的干预措施之一 。随着年龄增长,累积的氧化损伤可能导致脉络膜毛细血管结构退化,从而导致流向 RPE 和光感受器的血流减少 。血液循环受损会降低脂质和细胞副产物的清除率,这些脂质和细胞副产物会积聚形成视网膜黄斑硬化症。反过来,脂质积聚可诱导细胞外基质 (ECM) 重塑并刺激炎症反应。这些致病过程之间复杂的相互作用 最终导致疾病进展为组织萎缩或黄斑新生血管形成(MNV,以前称为脉络膜新生血管形成 )。这两个终点代表了晚期年龄相关性黄斑变性 (AMD) 的两种主要形式:地图状萎缩 (GA,传统上称为“干性” AMD)和新生血管性 AMD(传统上称为“湿性” AMD)。然而,光学相干断层扫描 (OCT) 血管造影的出现使得非渗出性新生血管形成病例更容易识别,模糊了这些传统类别之间的区别 。
年龄是导致AMD发生的最主要的人口统计学风险因素。环境和生活方式因素,例如吸烟和饮食
人们长期以来一直怀疑遗传因素对AMD风险的影响
佳学基因检测通过“黄斑变性的基因检测的必要性和科学性”总结了迄今为止涉及AMD发病机制的基因原因的基因解码证据。已确定导致AMD风险的基因主要与AMD发展的主要病理生理机制相关:免疫失调和炎症、细胞外基质破坏、脂质积聚、血管生成和细胞凋亡。接下来,佳学基因检测将讨论迄今为止与这些途径相关的主要基因变异。
因的关键。

加载中…