标签:
杂谈 |
濛小主导语
今天你走了多少步?
“健步走”已经成为很多人生活的一部分,而“晒步数”也成了微信朋友圈的一种潮流。为了拼排行,很多小伙伴日走万步甚至几万步!没有最高,只有更高!
如果某天登顶朋友圈排行榜,真的会骄傲得不行……
在大家的概念里,走路是最好的长寿药!所以,多走路肯定对身体是有好处的嘛?但事实真的是这样吗?
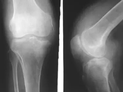
骨科专家指出,走路运动虽然有利于健康,但运动要掌握适当方法,一味大量走路或会损伤腿部!看看这些走出来的病↓
走出来的滑膜炎!
前不久,杭州的刘先生想通过暴走减肥,每天走的步数都在15000以上,没想到,不到一星期,就患上了膝关节滑膜炎!医生说,刘先生是走得太多了!属于过度运动,已经伤害到了身体!
日行2万步,膝关节积液!
张阿姨今年50多岁,平时爱好锻炼身体的她,经常到附近公园散步,基本上每天两万步打底。没想到,这种追求健康的方式给她带来大麻烦。正是因为走路太多,对膝盖产生了损伤,时间长了,原本应该起到润滑关节作用的关节腔液越来越多,这才形成了积液。
日走3万步,断了大腿骨!
一位60多岁的病人,体重60公斤,身高一米六,从一个半个月前开始,每天暴走15公里。刚开始锻炼有点腰酸背痛也正常,但走了半个月后,一站起来就觉得右边大腿根部疼痛,当时还可以走路,就以为是扭伤了,撑着没到医院去。后来越来越疼,病人才到医院,一检查才发现,原来是大腿的骨头“走断了”......
你的身体能承受每天这么多步吗?
每个人承受的运动量不一样。如果平时有运动习惯,每天一万步两万步并不困难。但平时缺乏运动的人,突然一天内走上两万步,可能会对心血管系统和运动系统造成太大负担。如果持续这么做,可能出现关节、韧带、骨骼损伤。
对中老年人来说,每天可以坚持轻负荷的锻炼30分钟以上,但不要超过1小时。如果换算成步数,大概在5000-10000步。
那么,到底怎么走才最健康呢?
走路被世界卫生组织认定为“世界上最好的运动”。研究表明,走路多的人身体会更健康。无论是徒步旅行还是记步运动,都可以起到锻炼身体的作用。专家认为每天走6000步才能达到健身的效果,这究竟是为什么呢?
专家认为:
每天走6000步≈
3至4千米行走距离≈
30分钟中等强度运动
中国营养学会推荐:《中国居民膳食指南》也建议成年人每天进行累计相当于6000步以上的身体活动。
因此每天6000步,是走路最健康的步数!
走路可以防治这些癌症! 走路可看作防治癌症的特效药!如能每天坚持行走1英里,在20分钟内走完,对乳腺癌、前列腺癌、肠癌的防治都有明显益处,最高可降50%死亡风险。1预防乳腺癌
法国一项涉及400万女性的研究显示,任何年龄段的女性坚持每天快走1小时都能使患乳腺癌风险降12%。
2降低患大肠癌风险
美国哈佛大学针对7万人的长期研究发现,每天走路1小时,可降低一半患大肠癌的风险。
3可防患胰腺癌
每天饭后散步30分钟,可使患胰腺癌风险降低一半。研究者指出,胰腺癌多和热量过剩有关,而走路可消耗大量热量。
4抵抗前列腺癌
美国加州大学针对1455名前列腺癌患者,进行长时间随访后发现:每周只需快走3小时,癌症恶化程度比不运动的人降低57%。原因在于走路可改善内分泌,调节激素水平。
5提高免疫力
英国拉夫堡大学研究还发现,每天快走可提高免疫力,使感冒和呼吸系统疾病几率降低30%。
6预防心脏病
每天健走30分钟,可维持心肺功能的健康状况。
7防治糖尿病
美国《护理健康研究》刊载,一天健走1小时,对2型糖尿病有50%的预防效果。
8避免脂肪肝
据研究发现,常走路的人血液循环较好。血可以流到聚集在肝脏的众多微血管末端,肝的代谢功能就好。
9预防动脉硬化
持续20分钟以上的健走,有助分解燃烧体内中性脂肪,预防动脉硬化。
10延缓关节、腿力衰老
美国《关节炎和风湿病》杂志报道,与跑步相比,走路对关节损伤小,能延缓关节功能衰退,又可强化肌肉功效,有助于维持下肢的良好能力,还可预防骨质疏松。
正确走路姿势
总而言之,运动最好的方法就是走路,但不要盲目的“拼步数”。在健康的基础上,有意识地加大、加快步伐,将运动融入生活、增加热量消耗,让走路这颗“长寿药”发挥最大效果!
和家人朋友一起走起来吧!

加载中…