过敏性鼻炎极易引发鼻窦炎
标签:
健康过敏性鼻炎鼻窦鼻窦炎病人 |
由于肿胀或水肿的鼻粘膜阻塞了在中鼻道和上鼻道的鼻窦开口所致。几乎所有的过敏性鼻炎患者均有不同程度的过敏性鼻窦炎,受侵的鼻窦常为双侧或全鼻窦。过敏性鼻炎在没有继发感染前,常无明显的临床表现,诊断依靠鼻窦X线摄片或CT扫描。
鼻窦炎是指鼻窦黏膜的发炎,多由于鼻窦的黏膜纤毛清除分泌物的功能破坏所造成,鼻窦开口的阻塞则是此病理变化中关键的一环,而鼻窦开口的阻塞,则以上呼吸道感染、过敏性鼻炎和鼻息肉为最常见的病因,由此可知过敏性鼻炎和鼻窦炎实存在有密切的关系了。
鼻窦炎的病人临床上可见到,病人在上呼吸道感染后7至10天后,鼻塞、咳嗽的症状持续存在。在儿科的病人,因为对鼻腔分泌物的处理能力较差,常会出现鼻涕倒流的现象,症状尤其以夜咳为主,鼻水可以是清澈或黄脓样,而发烧、鼻窦不舒服或头痛则较少。在理学检查上可见到充血而且肿胀的鼻黏膜,有时也可见到脓性鼻漏,特别要注意的是在过敏性鼻炎合并鼻窦炎的病人身上,可能因此使得过敏性鼻炎的鼻腔黏膜表现变得不明显。
四川奥斯迪康骨医院治疗过敏性鼻炎的方式:
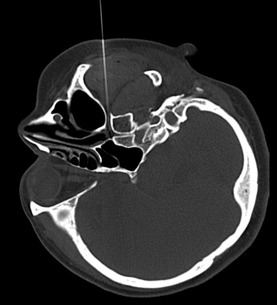
在CT引导下蝶腭神经节射频治疗,手术后有效率达95%以上。优势是:
1、操作简单;
2、没有任何副作用;
3、疗效显著、复发率极低;
4、治疗时间短;
5、风险小;
6、整个操作过程中病人痛苦小、反应轻、不开刀、术后不影响正常的工作和生活。
梁文军:世界中医药学会联合会疼痛康复专业委员会常务理事,副主任医师,疼痛科主任,师从中华医学会疼痛学分会委员,中日友好医院疼痛专家杨克勤教授。擅长:三叉神经痛、带状疱疹后遗症、颈椎病、腰椎间盘突出症、下肢发冷、过敏性鼻炎、交感神经引起的病变等顽固性疼痛疾病。结合针刀、射频、低温等离子、臭氧、神经阻滞术等多种治疗方法,提高了疼痛患者的治疗效果。
扫描二维码关注官方微信了解更多健康资讯
--------------------------------------------
谢谢您收听“四川奥斯迪康骨医院”官方微信:
更多丰富内容,尽在官方网站
https://mmbiz.qlogo.cn/mmbiz/jiaAibRibPznSGl9lZUic4mFs5PmiauGhq068rLHSfPq4m4iaSVhTdSBs3dphYyTics1L3RtEI2rcsGKVaFfnzs8KMxicw/0

加载中…