【病案讨论】肺癌影像学诊断的重要性
标签:
肺癌影像学支气管阳性患者 |
病例分析一:
患者:李某,女,70岁。
主诉:反复腰及双臀部胀痛3年,颈痛2年,加重半月。
现病史:患者诉于3年前在无明显诱因下出现腰及双臀部胀痛,呈阵发性发作,每于久坐久站久行后症状加重,平躺休息后减轻。2年前又在无明显诱因的情况下出现颈痛,发作时伴颈部活动受限,无头晕眼花、双手麻木等症状,于久坐,伏案久后症状加重。曾在外院经牵引、针灸等治疗后,感疗效不持久,反复发作。
专科检查:颈椎生理弧度变直,颈肩部肌肉紧张,C2-7棘间及椎旁压痛,斜方肌压痛。肩背部可摸到条索状硬结,压头试验阳性,双侧臂丛神经牵拉试验阴性,屈颈旋转试验阳性。双上肢肌力5级,腱反射(++),感觉正常,Hoffmann(-)。腰椎生理弧度存在,腰部活动受限:前屈65°、后伸5°、侧屈10°,L3-S1棘间棘旁压痛,双下肢直腿抬高试验40°阳性,挺腹试验阳性,巴宾斯基征阴性。
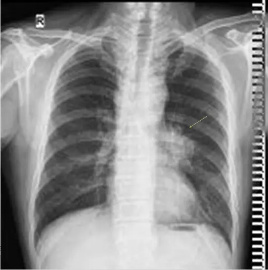
影像学所见:
胸部:气管分叉管壁增厚,右肺上叶前段软组织结节形成,考虑肿瘤性病变可能大。
腰椎:L4椎体及右侧椎弓根骨质破坏。
诊断:骨髓水肿可能由外伤、退变或骨质破坏所致
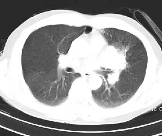
病例分析二(周围型肺Ca):
患者:卢某,男,62岁。
影像检查:
启示:医生在给病人查体的同时,要对患者胸部进行全面的检查,若不及时的发现,肺癌就很有可能会找上门。
影像诊断是非常重要的,因此我院专家组今日对肺癌影像诊断进行了讨论。专家组介绍到,在对胸部检查的同时,要着重检查胸部的正位和侧位,有些医院习惯性的只看正位而忽略了侧位,导致有些患者没有得到更准确的治疗。
我院专家组还介绍到,肺癌的转移途径有很多种,如:淋巴结转移、胸膜受侵和/转移、上腔静脉综合征、肾脏转移、消化道转移、骨转移、中枢神经系统症状、心脏受侵和转移、周围神经系统症状。
肺癌的分类 :
中央型:是指发生在主支气管、叶支气管或段支气管上的肺癌,多数为鳞癌或小细胞未分化癌。
周围型:是指发生于段支气管以远的肺癌,约占全部肺癌的40%。周围型肺癌的CT表现多样性。
我院专家组强调,肺部疾病出现“同病异影”和“异病同影”现象屡见不鲜,加之肺的临床和影像学表现颇为错综复杂,给肺癌的诊断带来不少困难,所有的所谓“恶性”表象中,几乎没有一个是绝对的依据,包括CT上发现的钙化而排除肺癌,因此在肺癌影像诊断和鉴别诊断上必须密切线合临床,进行综合分析。
为了方便更多患者朋友们对有关疾病方面的知识解答,扫描以上二维码可与专家进行沟通与交流,欢迎大家来到健康之家。
--------------------------------------------
谢谢您收听“四川奥斯迪康骨医院”官方微信:
更多丰富内容,尽在官方网站
http://mmbiz.qpic.cn/mmbiz/jiaAibRibPznSGl9lZUic4mFs5PmiauGhq068rLHSfPq4m4iaSVhTdSBs3dphYyTics1L3RtEI2rcsGKVaFfnzs8KMxicw/0?tp=webp&wxfrom=5 www.aosidi.com.cn

加载中…