北京疼痛专家杨克勤教授成都巡诊!

标签:
杨克勤神经节过敏性鼻炎梁医生鼻痒 |
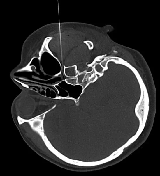
过敏性鼻炎是一种常见病和多发病,主要是由过敏物质,如花粉,雾霾,灰尘,异体蛋白,甚至是空气质量和温度引起的。有的根本就查不到过敏源,其症状有鼻塞,鼻痒,流涕,打喷嚏。更有甚者晚上睡觉只能张口呼吸,严重影响睡眠质量。所以,它对人们的日常生活影响巨大,且常影响你的公众社交形象!赵女士就是一位患此病二十多年的患者,用她自己的话说这么多年来医院没少去,药没少吃,罪没少受,但就是效果不大。终于一次偶然的机会,经朋友介绍,她找到了世界中医药联合会疼痛与康复委员会常务理事,副主任医师梁文军医生,采用国际先进技术一一CT引导下蝶腭神经节脉冲治疗过敏性鼻炎。赵女士半信半疑地在梁主任确保治疗安全的前提下接受治疗。真是医治有缘人,赵女士在CT引导下大概45分钟基本无任何痛苦就结束了治疗。赵女士现在症状基本消失,只是偶尔过度疲劳或感冒后还有些许症状,咨询了梁大夫说大概还要3~6个月的恢复期。
梁医生师从于北京中日友好医院杨克勤教授,而杨教授早年东渡日本,主要从事三叉神经痛,癌症痛,顽固性头痛,颈肩腰腿痛,带状疱疹痛及过敏性鼻炎的病因研究和治疗!而蝶腭神经节正是支配鼻粘膜的主要神经,当鼻粘膜受到过敏源刺激后,交感神经兴奋,使鼻粘膜充血水肿,导致流涕,鼻塞,鼻痒,打喷嚏,甚至呼吸困难!而蝶腭神经节的治疗既不影响嗅丝,又不会导致鼻腔干燥而产生空鼻症!这是手术有创治疗无法避免的!在杨教授和梁医生亲手诊治的上千例患者中,显效率在95%以上。
四川奥斯迪康骨医院赖志刚院长也是经过高科技技术治愈的鼻炎患者之一,同病相怜,为了让更多的患者能享受到这一世界领先技术的治疗效果。赖院长特邀杨教授将于2015年3月22日-2015年3月23日两天来蓉坐诊,预约杨教授名额有限,需要预约的朋友请拨打028-87059333、4006088999提前预约。
--------------------------------------------
谢谢您收听“四川奥斯迪康骨医院”官方微信:
更多丰富内容,尽在官方网站
http://mmbiz.qpic.cn/mmbiz/jiaAibRibPznSGl9lZUic4mFs5PmiauGhq068rLHSfPq4m4iaSVhTdSBs3dphYyTics1L3RtEI2rcsGKVaFfnzs8KMxicw/0?tp=webp&wxfrom=5 www.aosidi.com.cn