标签:
杂谈 |
很多人因为牙齿不好看,不敢开怀大笑,有意识地控制唇部肌肉遮挡住不好看的牙齿,笑起来就会非常不自然。牙齿问题,是完美笑容的最大杀手。今天袁医生就来跟大家讨论一下是哪些原因阻碍你的露齿笑。
1.牙齿缺失
牙齿缺失不仅影响美观(尤以前牙缺失为甚),还会导致咀嚼及发音功能异常。另外,缺牙不补会影响我们的牙齿咬合功能,久而久之,还会导致旁牙倾倒、歪斜,最终导致面容的改变。
https://pic.wenwo.com/fimg/685109700.jpg
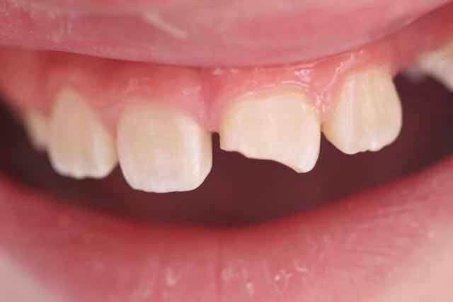
2.牙缺损
多由外伤导致,有时咬坚果、开啤酒瓶等也会导致牙齿缺损或者牙面出现裂纹。可以通过制作复合树脂来修复牙体形态,从而保障笑容的美观。
https://pic.wenwo.com/fimg/771869646.jpg
3.牙齿排列
牙齿排列拥挤、稀疏,或者牙齿本身出现扭转、倾斜时,也是影响面部美观的重要因素之一,通常还伴随着上下颌牙齿的咬合不正。长时间的异常咬合会影响我们的颌骨外形及颞下颌关节健康,同时牙齿咬合接触面也会有异常磨耗。这种情况就应该及时通过专业的正畸方案进行治疗改善,避免出现口腔健康问题。
https://pic.wenwo.com/fimg/58509647.jpg
4.牙齿外形
就牙齿的宽长比来说,75%至80%为佳;就牙齿整体形态与年龄、性别的关系而言,牙完整者多表示年轻,有明显磨损者年龄较大,卵圆形较小的牙齿多为女性,牙齿较方较宽大、边缘生硬的多男性化。
https://pic.wenwo.com/fimg/465969703.jpg
5.牙齿颜色
牙齿颜色应与肤色、发色、眼球颜色匹配,不能一味追求大白牙。上中切牙亮度和透明度最高,上颌侧切牙亮度稍低,尖牙最低,双尖牙与侧切牙类似。牙齿颜色暗沉可以通过定期的洗牙、牙齿美白等狐狸来改善。
https://pic.wenwo.com/fimg/390509704.jpg
6.牙龈健康
健康牙龈呈粉红色,无肿胀。牙体与牙龈的交界处连线(即牙龈外形线)平坦光滑,微笑时上唇下方露出的牙龈组织高度一般不超过3mm,超过太多称为露龈笑,简称龈笑。
7.微笑曲线和侧脸线条
下唇上部边缘构成微笑线,并与上牙切缘平行,微笑时轻接触。此外,微笑时,上下唇缘间的空间中75%至100%位置应由上前牙占据。
https://pic.wenwo.com/fimg/673359706.jpg
侧脸线条:从侧面看,鼻尖、唇尖、颏前点(即下巴最尖最低部分)应该在一条直线上。
https://pic.wenwo.com/fimg/308399652.jpg
以上问题大都可以通过专业的正畸方案和口腔护理得以改善,但在重塑口腔形态之前,需要经验丰富的正畸医生根据个人口腔情况并结合相关的全科医生联合会诊,进行整体的面部美学要素评估。综合评估完成以后,方可拟定治疗方案。
如果你还有其他牙齿矫正方面的问题,欢迎关注我的微博(牙齿矫正正畸袁峰),评论或私信咨询,有时间我会一一解答。

加载中…