标签:
健康口腔科普牙齿矫正牙齿矫正过程 |
分类: 口腔健康 |
相信很多小伙伴都有牙齿矫正的想法,毕竟大多数人的牙齿都是有排列不齐等问题。现在牙齿矫正的方式也非常多,例如传统的金属矫正就是常说的牙箍整牙,还有半隐形以及隐形矫正的方式,那么这些方式该怎么选择呢?我自己选择的是牙箍矫正,用我的亲身感受告诉大家千万别用牙箍整形是什么原因!
在戴上牙箍之后,让我比较尴尬的一点就是基本上每个朋友都能看出我是在进行牙齿矫正,虽然不是拥有一口大钢牙,但是影响美观是一定的,正是因为这个我还被朋友们起外号,如果是介意美观度的朋友们,这个理由足够让你对金属托槽矫正望而却步!
第二点就是因为需要用钢丝将托槽固定住,钢丝的锋利性大家都是知道的,非常容易就会划破嘴唇,这点还是比较受罪的。
还有就是因为钢丝托槽的缘故,口腔清洁工作还是非常费劲的,很多残留食物都不容易清洁干净,很有可能会造成龋齿。
第三点就是需要每个月都去复查一次,这点对于平时工作比较繁忙的我来说,还是有一些不便,不过好在是一个月只需要复查一次就好了。
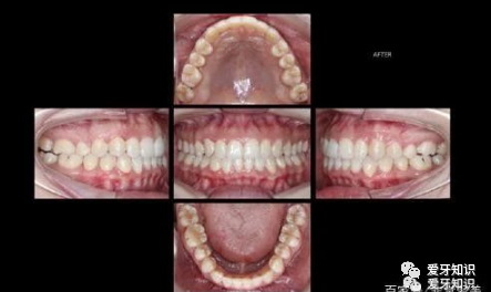
并不是说矫正效果不好,效果也确实能看得见,从下面矫正前后的对比图中能看到明显的效果,但是说实话,整个矫正过程中舒适程度较差、美观度不足、口腔清洁的难度比较大,这些都是对日常生活会带来一定的影响。
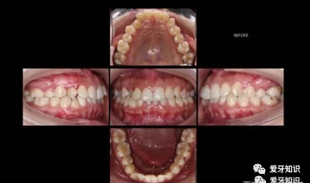
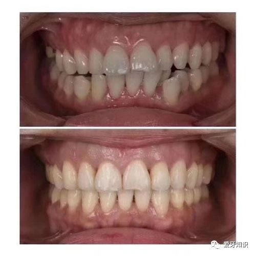
相比之下,我朋友进行的是隐形矫正,效果也非常棒,而且各方面都比我牙齿矫正的过程要更舒适。下面是她牙齿矫正之前的图片,实际上和我的情况也挺类似的,但是她整个过程下来基本上没我这么受罪,因为隐形牙套基本上看不出在牙套的存在,而且复查频率也更低,牙套可以随时摘卸,口腔清洁也非常容易,重要的是牙齿矫正周期还比较短。
从效果上看,也非常理想,从下图矫正后的图片看,牙齿排列已经非常整齐了,整个牙齿状态也非常好!
所以相比之下,我真的是深切体会到为什么很多人建议进行整牙了,也将我的经历感受分享给大家,或多或少可以做一个参考
扫码自助预约看牙!

加载中…