成都粉丝福利:线上报名免费拍片检查设计方案,专属粉丝优惠看牙活动!
标签:
拔牙牙齿矫正牙齿矫正过程杂谈 |
分类: 牙齿矫正 |
粉丝福利:
9月开学季遇9周年庆,看牙优惠活动更优惠!先给粉丝们送出本月免费初诊名额共计40个,牙齿口腔检查和全景片看智齿看蛀牙名额40个!想智齿你智齿怎么长的吗?蛀牙龋坏深度要不要补吗?免费拍片帮你看!
扫码报名
牙齿矫正免费名额包含:
1.挂号及建档;
2.口腔全面检查和取模;
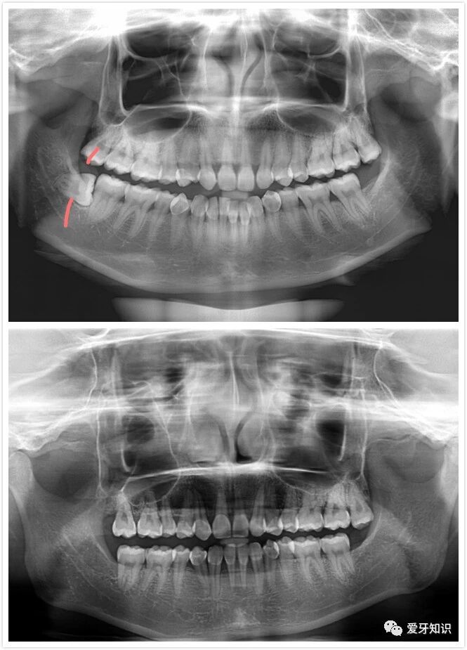
3.X光片检查:全景片、侧位片;
4.个人详细矫正方案设计;
名额有限,先到先得,只限粉丝可用。
宠粉福利:折后消费满999元减99;满9999元减999元,全项目可享;
粉丝传统矫正6800-8800元;国产自锁/进口陶瓷:9900元;进口自锁:13800-999元;隐形矫正:15800;17800;23800;30800;36800;粉丝可减999元!
下面就来给大家介绍一下牙齿矫正的步骤:
牙齿矫正包括范围较广,通常是指通过口腔技术手段,修整牙列排列不齐、牙体扭转倾倒治疗过程。牙齿矫正有多种方法,如方丝弓、圆丝弓、隐形矫治正畸等等,要根据个人的牙齿实际情况、牙颌畸形种类等,再综合个人要求选择治疗方法,每种方法各有优缺点,不同人各有偏好,需要在检查时和医生直接交流确定方案。主要分功能性矫正和美学矫正。那么牙齿矫正的详细过程到底是怎么样的呢?
1
咨询医生
制定矫正方案。主要有隐形矫正、陶瓷托槽矫治器、钢丝托槽矫治器,根据自己的情况选择合适的方案。
2
拍片
拍X光牙齿及头部颌骨照片。目的是确定颌面及牙列畸形的分类类型,骨骼发展方向等。以利于以后制定准确的矫正方法。
3
制模
用一种快速定型的取印模胶剂放到你牙齿上,咬1-2分钟就可以取出,翻制成为你的牙齿的模型。备用,也是为了以后矫正对比方便。
4
拍照片
医生在矫正之前给你拍各角度的牙齿照片,备用,也是为了日后对比和完善病历。
5
拔牙
按照医生制定的方案,分批次的拔除需要拔出的正畸牙,一般的人大概需要拔4个左右牙齿,部分特殊的,比如智齿多的,牙齿过于密集的也有拔8个左右。(有的人则不需要拔,仅磨牙就可以了)如果有蛀牙什么的就会先补好,有牙结石的也会先洗牙。(拔牙的目的是为了空出空间,来给那些因牙齿拥挤导致不整齐的牙齿规位,至于拔牙的缝隙到时候会合拢,不用过分的担心)
6
分牙
有的分牙是与拔牙同时进行的,有的则是在拔牙后进行,用分牙圈套在上下左右的大牙之间,一般需要分1个礼拜左右。目的是为了使牙齿移出一点空隙,方便将牙套戴到准确的位置。分牙一般来说会有点酸软无力,上下牙齿碰到会有点痛哦。
7
带牙套
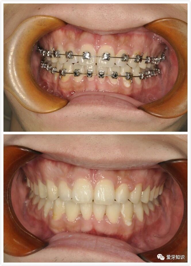
分牙完成后就可以直接上牙套了。(戴牙套初期有点磨嘴,第一个星期可能会有牙周酸软感,之后不适症状将会消失。如果有口腔溃疡,可以晚上睡觉前喷桂林西瓜霜,补充点维生素B、锌等。)
8
复诊
一般是一个月复诊一次。具体时间医生会与你预约。(复诊一般情况就是给你加力,好让牙齿按照预期进行移动。)
9
上橡皮筋
一般来说,牙齿的排齐会因本身的牙齿移动快慢和医生的技术各方面因素而不同。一般1个月左右就会看的出来一些变化,而6个月左右就基本会排齐了。排齐以后就是收牙缝,收拔牙的缝隙,就需要皮筋的帮忙。皮筋在吃饭的时候是要摘下来。皮筋的效果可是非常神奇的哦。
10
调型定型
收牙缝的时候也是就调中线的时候,等牙缝收好了,中线也基本对称了,自此就可以展露迷人的笑容了!但这个时候还不能摘牙套,牙齿要再稍微定型一段时间!
11
摘牙套
最激动人心的时刻到了!为了更加完美,你可以去洗个牙或者做个美白。让自己更加自信,神采飞扬。
12
保持器
可别以为摘了牙套就大功告成了。正牙后是要注意保持定型的,所以保持器是非戴不可的。一般来讲,保持器都是前半年24小时戴,以后就晚上戴。(吃饭可摘下,注意清洁)!!!在坚持一年半左右的时间,牙齿固位稳定,就算大功告成,对着镜子,感慨辛苦没有白费的时间到了。
牙齿矫正期, 这样吃才乖!
刚开始几天的食物要软
初戴矫治器以及每次复诊之后的头几天,可能会觉得牙齿酸胀痛软、咬东西无力、刷牙有点疼、不敢碰等,这是由牙齿受到矫治器的力量引起的,属于正常现象。
酸痛不适感在最开始的几天尤其明显,这段时间,可以尝试吃些稀饭、燕麦粥、面条等软食,直到酸痛感逐渐消失。
养成细嚼慢咽的习惯
牙齿矫正过程中,由于矫治器位于牙齿表面,难免会影响到日常进食,比如,咬到自己或使矫治器松脱等。在这个过程中,建议不管吃什么食物,都要注意细嚼慢咽。
同时,注意保持两侧交替咀嚼,有助于保持口腔清洁及牙齿矫正效果。
对这些食物要“挑剔”
正如牙齿矫正会影响日常进食,一些食物在这段时间也是不宜的,需要特别注意。
1、过硬的食物,如坚果、硬糖果、爆米花、硬饼干、硬糖果、贝壳虾壳等,可能会导致矫治器松脱、变形,影响牙齿矫正。
2、过粘的食物,如牛奶糖、麦芽糖和饼干类的食品,可能会将矫治器及矫治线黏起而造成移位。
3、过大的食物,如苹果、胡萝卜等大块食物,应切成小块后再进食;鸡腿、骨头等,不宜直接用牙齿啃,而需用餐具将肉撕碎再进食。
4、过甜的食物,如糖果、饼干、可乐、果汁等可能会引起龋齿的高糖分食物要尽量避免,可以选择水果、蔬菜等替代。
#成都牙科医生## 全民宠粉计划#9周年庆,遇到暑期正牙季!V:yakeyi3#9周年庆# 微博粉丝私信报名专享,正畸0元拍片检查设计矫正方案!分院城市:北京;上海;广州;西安;成都;均可报名。粉丝自助报名:http://t.cn/A62rVMGU 粉丝推荐朋友看牙,提前预约;可获得免费洁牙名额和正牙无忧权益; 传统托
2020-07-30

加载中…