成都粉丝真实的矫正变化历程:改变颜值,学习矫正干货!
标签:
拔牙口腔科普牙齿矫正牙齿矫正过程杂谈 |
分类: 牙齿矫正 |
疫情过后,最近有很多小小美女,小帅哥都开始找我摘牙套了!都和牙套说分手了,下面就来给大家看几个摘牙套的小伙伴通过牙齿矫正有多大变化!
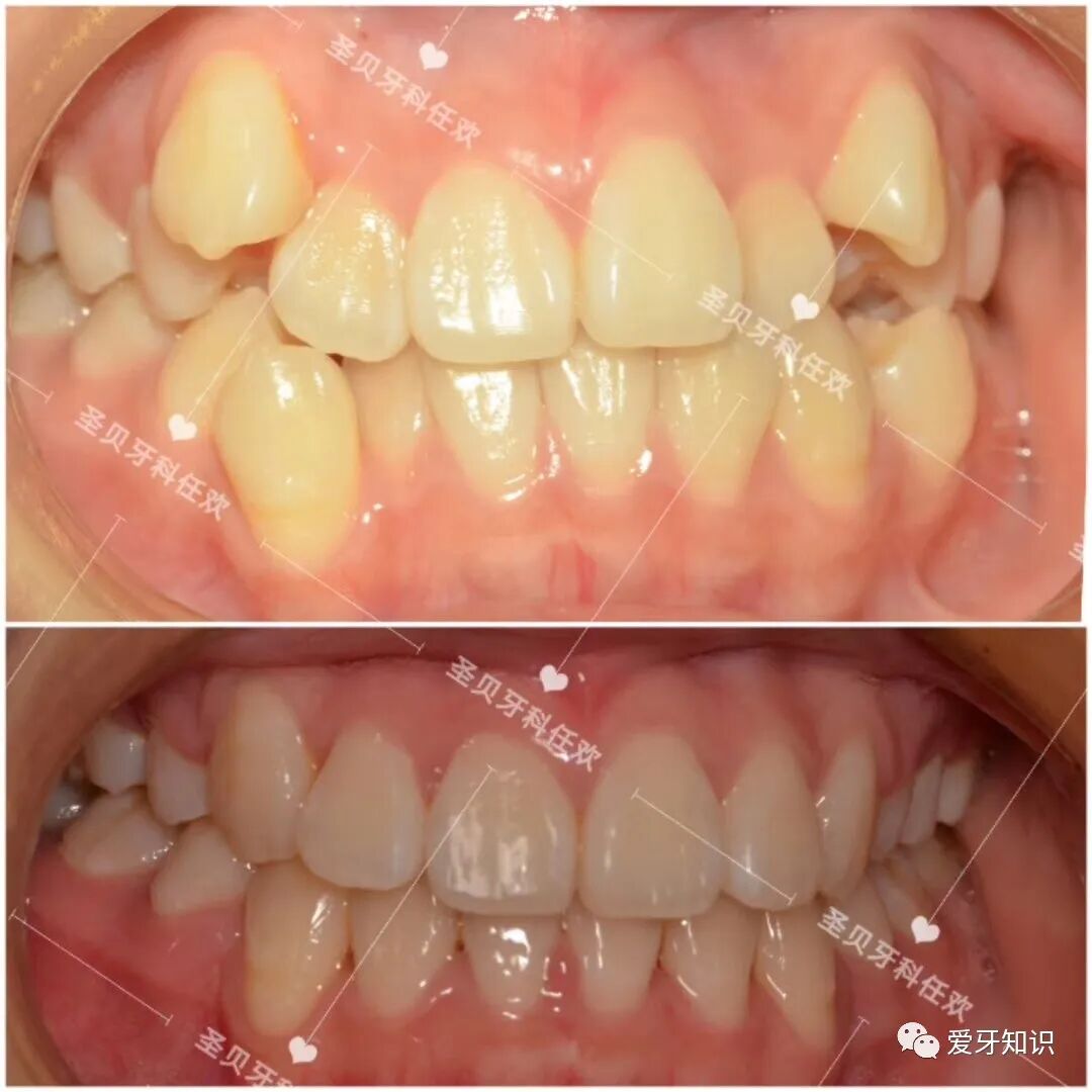
先上图给大家看看效果。
关于牙齿矫正每个人的要求都不一样:有的人是改变嘴凸,有的人是改变牙齿拥挤,有的人是改变牙齿咬合,有的人是想对齐中线。等等!
看看你们自己的牙齿是那种吧!是否可以矫正然后改变美丽!
其实很多人都有牙齿矫正的想法,但是一直犹豫,纠结,害怕拔牙,等等导致一直没有行动起来。早矫正,早美丽!不要犹豫!:👇
很多人觉得自己嘴太凸了不好看
高中的时候爱美意识就已经觉醒,这拿不上台面的牙齿让我好是苦恼。凭心而论,牙齿不整齐我都能接受,不笑就可,但是外凸是挡不住的。偶尔听到别人议论,心里还是会有那么亿点点不舒服。
穷学生光有想法,没有家长的经济支持是整不起牙的。这一拖就到了大学这所『整容院』,化妆技术再炉火纯青,也掩饰不了外凸的牙齿!涂再好看的口红,张嘴就露怯。
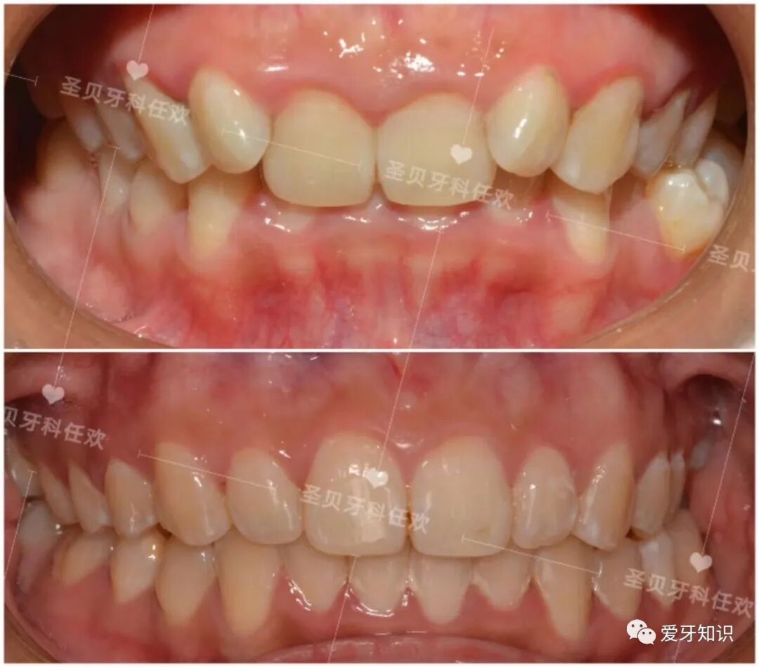
下面再来看看一个小姐姐矫正的变化,矫正改变真的是大,嘴型好看了,皮肤也好看了,你不羡慕吗?
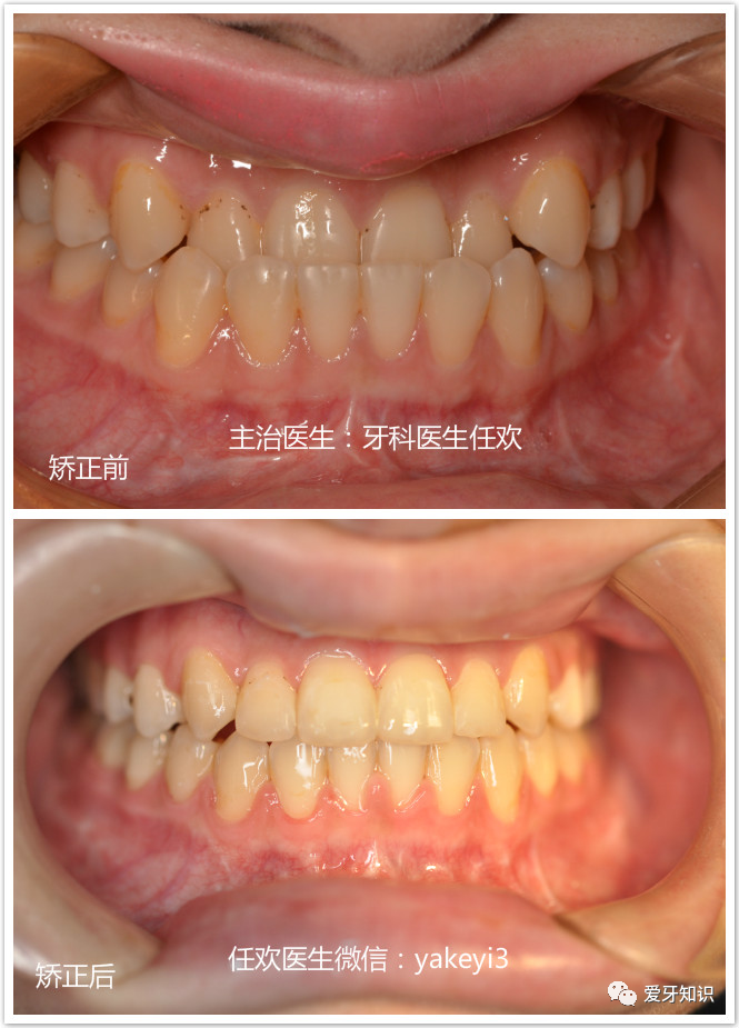
矫正前,
矫正后
矫正前
矫正后!
今年开始戴口罩后,常常能听到大家讨论好看的小哥哥小姐姐变多了,那也是因为口罩遮住了面下三分之一的颜值:凌乱的牙齿、龅牙、下巴后缩等👇
(现在就是改变的最好时机💪)
所以,与其戴着口罩遮羞,不如趁现在上牙套,两年后又是一条美女/帅哥!
小美女矫正毕业我们一起拍毕业视频,两年多的矫正时间我们成为了朋友,她是一个行动力很强的人,下定决心就矫正,不纠结,不犹豫!希望大家想矫正的朋友们,也不要纠结了,早点行动起来,再2020年开始自己的整牙计划!她的矫正过程和对比照片告诉我们一个道理,矫正不要纠结犹豫,矫正可以让你变得更美,更有自信!想知道的赶紧戳视频👇
https://weibo.com/5748943915/J9FOq64FI
下面是整理好的文字版,在这篇文章里,你将会看到以下内容:👇
1.
2.
3.
4.
5.
其实很多人牙齿矫正跑了很多医院,也问了很多医生。了解了很多矫正方案,但是最后遇到的医生收钱之前和收钱之后变化真的非常大,牙齿矫正医生技术固然重要,但是医生的责任才是最重要的,两年的矫正时间是愉快的度过还是度日如年就看你们自己选择了!
牙齿矫正很多人会觉得牙套越贵,矫正效果就越好,实际上不是这样的,选择自己经济能力可以接受的和适合自己牙齿的矫治器才是最好的,牙齿矫正效果和医生的矫正技术和审美,是有非常大的关系。
不要盲目追求贵的矫治器,根据生活和工作,舒适型,美观性来选择自己的矫治器才对!
牙齿矫正从我们普通人来理解,就是把歪掉的牙齿通过外力扳到原本应该在的位置。
而牙套就是那个帮我们达成目的的『工具』,专业名词叫:矫治器。
医生才是关键,医生的技术和负责的心。
大家都知道现在矫治器大概有金属牙套、自锁牙套、陶瓷牙套、隐形牙套、舌侧牙套,那么它们有什么区别呢?
下面就可以看看这些矫治器长什么样子,是否适合你,你会选择哪一种?
反正不管是选择哪种牙套,矫正的时长大概都是一年到两年左右的矫正时间。
需要带牙套的情况,用专业术语统一称为:错颌畸形,形式多样,大概如下所示:https://mmbiz.qpic.cn/mmbiz_png/fwaTu5a4jNI7P9JsNol5Bntcf4QDLzTxjUPJxibamWl8FlvEjBXATic1e69qaO5R2qEFh1OB2ddeaiam3YD4biaZAQ/640?wx_fmt=png
像这样的龅牙+嘴凸矫正变化就很大。于是拔掉了4颗正畸牙然后内收牵引,达到嘴型变化的过程!https://mmbiz.qpic.cn/mmbiz_png/fwaTu5a4jNI7P9JsNol5Bntcf4QDLzTxjUPJxibamWl8FlvEjBXATic1e69qaO5R2qEFh1OB2ddeaiam3YD4biaZAQ/640?wx_fmt=png
在做牙齿矫正之前很多人准备了很多功课。才知道国内牙齿的错颌畸形率挺!高!的!70%以上的人都有不同程度的错颌畸形,差不多10个人里面就有8个人需要做牙齿矫正。
造成牙齿不整齐的原因具体能分为三种:牙性、骨性、功能性。说简单点就是牙有问题,骨头有问题,咬合有问题。网上有很多自行判断的方法,不过我还是建议拍片让医生来分析最靠谱。
拍了全景和侧位,就可以给你判断出来了。当然了,我的粉丝肯定是不收钱的了啊。免费拍全景片,侧位片,取模,设计矫正详细方案,都不要钱。只是给你多一个选择,多一份了解。
做矫正遇到的第一个问题就是选医院和医生了,选择对了,你就可以省很多钱和少走很多弯路。当然我说的省钱不是价格越低越好,我指的是遇到良心医生,真的为你考虑的。其实医生的朋友圈都有很多医生,各种各样的医生,就看医生愿不愿意帮你而已。
给大家点小建议:选择医院首先是医院比较大,分院比较多,不容易跑路的那种。
医生案例比较多,审美比较好,技术比较好,沟通起来非常友善,医生负责。遇到问题可以帮你解决问题。才是你需要寻找的好医生。
很多人这个时候就会说了啊!选择公立医院还是私立医院呢?
我个人觉得,公立医院可以选择,但是公立医院每次都需要挂号复诊,然后一般不能和医生本人预约,有什么问题也问不到医生本人。然后最重要的是矫正开始到矫正结束是否是这个医生本人全程操作复诊,还是复诊期间都是她的助手操作呢?这个很关键也很重要!
其实成都本地大名鼎鼎的公立口腔医院,预约拍片检查设计方案等很久,好不容易拍片取模了,又要等很久才可以去听方案,听了方案拔牙矫正的话,预约拔牙等很久,拔牙后再预约时间粘牙套, 这个过程下来一个月就差不多完了!
一般我给我的粉丝们看牙是这样的,上午来,中午听方案,不拔牙听了方案下午粘牙套,需要拔牙矫正的
当天下午安排正畸拔牙,拔牙恢复一周约粘牙套,大大缩短了矫正前的时间,你也不用耽误太久的时间在矫正前。
很多人又要说了,当天出方案是不是方案就不好啊,其实医生如果想当天给你出方案是完全可以的,只是有时候太忙,不想当天给你设计方案,花很多时间给你讲方案。这个就和医生个人性格和耐心有关系了!
说了这么多了,你们应该怎么去选择医生和医院了吧!
自己的人生,自己去选择吧!
下面来自张敏同学的矫正体验和心得感言:
大家好,我是张敏,第一个需要做二次矫正的人,
首先我说一下第一次矫正吧,第一次矫正感觉没有什么改变,我想改变的没有改变得了,而且最后矫正不久牙齿还反弹了,其实我最想改变的嘴巴前凸。可惜没有遇到能让我改变的医生啊。可能这就是命运吧!
但是我又是一个不相信命运的人。再一次偶然的机会在微博上刷到了一个名叫@牙科医生任欢,的医生,看了她很多微博上的矫正案例和回复患者的话。就顺便私信咨询了一下她,开始我也觉得可能是护士再回复,可是聊了一会我感觉不像是护士,怎么这么专业呢,后面我才知道她那天休假,是任欢医生本人再回答我问他,后面为了沟通方便,我就家医生的微信,然后就开始进一步的了解我牙齿是否可以二次矫正。
下面来看看我们两个人的矫正变化吧!
我的变化。
他的变化。
一起和医生合影留恋。
以上就是我总结的我个人矫正历程。也希望可以帮助到大家。
同时也希望大家遇到好的医生,和我一样,早矫正早美丽。
(证书一小部分)
1. 牙齿矫正有没有年龄限制?
没有。只要牙周健康牙龈健康,有牙齿矫正的意愿都可以矫正。
从医学上来讲正畸并没有年龄限制,牙槽骨可以终身改建,牙齿多大岁数都可以移动。但是,如果能选择,那就在适当的年龄做适当的事。
2. 矫正是不是一定要拔牙?
并不是每个人都需要拔牙。
拔牙一般是为了挪出牙齿矫正时需要的空隙,一般来说要先拔掉智齿,再根据个人情况拔其他牙齿,少的2、3颗,多则7、8颗(比如我)。
3. 矫正的费用怎么样?
价格是不能一概而论的,不同地区、医院、医生、材料等可能都会影响矫正的价格:
总而言之,具体情况具体分析。
4. 矫正过程中遇到突发状况怎么办?
及时与自己的正畸医生联系。
像托槽掉落这种情况,记得好好保存掉落的托槽,下次复诊带上。每个医生都有自己的数据,临时换医生粘托槽反而效果不好。
牙齿矫正变化?
现在的我牙齿整齐了!嘴不凸了!朋友还说我鼻子变挺了!
(嘴不凸了感觉人都年轻了也漂亮了,而且矫正后皮肤也变好了)
以前牙齿不好看总是不自信,拍照一直都是闭着嘴巴:👇
现在不一样了,自信来源于牙齿,真的是这样!
现在已经再戴保持器了,后期准备做两幅保持器防止万一哪天保持器坏了,没有保持器就反弹了呢,保持器医生告诉我说要戴2年,后期还可以做一副舌侧保持器,就直接粘牙齿内测了,就不用天天取下,再戴上,非常省事。
总之,不管你看完这篇文章决定要不要做矫正,都要注意:不要被网络上神化矫正的效果所影响,牙齿整齐和健康才是矫正的主要目的,变美只是顺带的。选择好自己的医生。
最后,我也希望大家都能有一口整齐光洁,健康的好牙!自信的笑容!
下面留一个医生的微信二维码。需要可以咨询她!

加载中…